| 图一 | 图二 |
| 图三 | 图四 |
![]() |
![]() |
| 图五 | 图六 |
牙科知识人人须知(266)咬手指
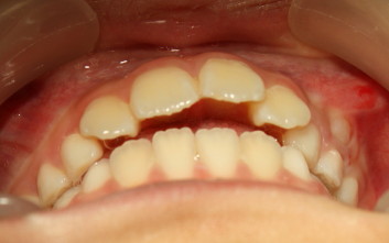
咬手指(图一)是一个坏习惯,很不容易纠正,小孩看电视时或者睡觉前不由自主把手指伸进嘴里,吸着津津有味,有位家长说他的孩子好像吸大麻似。不少家长想方设法,但是无济于事。咬手指不仅难看,而且会造成咬合紊乱,经常与手指接触的牙齿长不齐,形成开合(图二),说话漏风,按福州老人说法,这会漏财,父母亲辛辛苦苦挣来的钱从那里流出去。
美国Kentucky大学牙学院发明一种特殊装置,图三显示它在上颌牙模型上,图四装在口腔里。白色东西有点像车轮,可以在钢丝上转动。小朋友一旦戴上这个玩艺儿后,很快就不把手指伸到口里了,可能他们觉得嘴里空间太小了,容纳不下手指了,但是小孩子照样能正常吃饭。如果您的宝贝吃手指的习惯太严重的话,戴上这种装置后一时不起作用,大人必须提醒他们:“不要把手指放在嘴巴里。”经过大家努力,吃手指的习惯会得到校正。不过我们让孩子再戴几个月巩固胜利成果,然后我们拆除这个装置,观察几个月,如果坏习惯又复发,我们必须再装上这种装置。
这位小朋友很调皮,嫌矫正器不好受,影响她吃饭说话,最后把矫正器自己硬撤下来,我们又为她粘回去一次,她又把它搞下来,我们拿她没有办法。
一年半后,前牙开合畸形更厉害了(图五),刚萌出的上门牙(U1,2)与下前牙(L)没有接触,另外一颗门牙长得歪歪扭扭(U3)。一年后(小孩九岁时),上下牙之间缝隙更大了(图六),总之,口腔坏习惯坏处多,应该早期纠正。
伸舌頭也會造成牙齒畸形,也可以利用特別裝置進行糾正。
魏心牙科博士 DDS, PhD, MS 初稿03/13/2009 ,最后一次修改09/04/2014