牙科知识人人须知(245)牙桥潜在的坏处
上一期我们讨论了牙桥适应症,那十分狭窄,与植牙相比,牙桥不是一个好方法,笔者很少为病人做桥,做前反复给病人交待桥的坏处,本期举两个病例,阐明桥潜在的坏处。
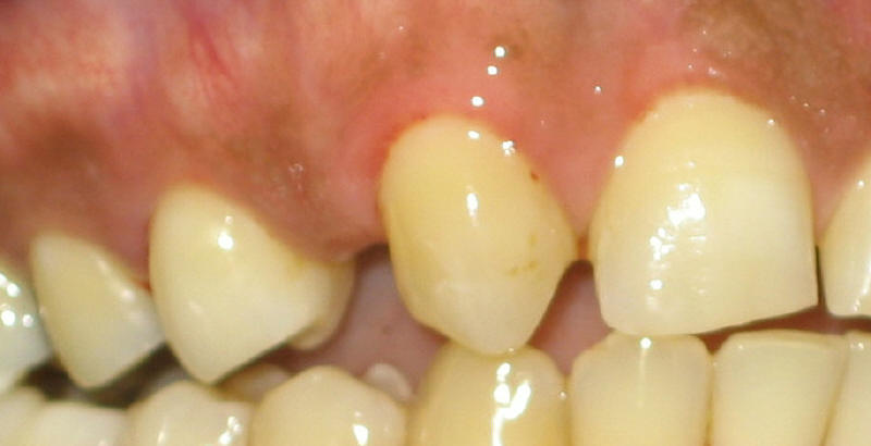
四年前一位三十来岁亚洲人就诊,他有四环素牙(图一),几年前为了省钱回国作树脂牙面,与陶瓷牙面相比,树脂牙面容易坏(掉),又容易继发蛀牙,他一颗大门牙(中切牙)蛀洞太大,一天不小心吃东西时把它搞断了(图一空当)。我们讨论了两种治疗方案:第一,植牙,陶瓷牙面;第二,牙冠,牙桥 。他当时正在申请医学院,经济是个问题,另外他精神特别紧张,怕打针,动手术,所以他选择第二种方案。好了,我们拔除断根,制备六颗牙齿,把牙齿磨小(图二),留有空间作牙冠牙桥,特别是为了校正深颜色的牙齿,例如四环素牙,做牙冠牙桥磨牙一般必须360度(一圈),而陶瓷牙面备牙(磨牙)比较保守,180度(半圈,与7期图二比较)就够了。当时我们没多想,按制定方针办,结果效果不错(图三)。最近他回亚特兰大(Atlanta)实习,与医生打电话,说牙齿还很好,但他没有空回诊所复查。大概好几年后他工作生活稳定后才能关注他牙齿问题,那时缺牙区可能发生萎缩(244期),如果他不太注意口腔卫生,制备过的牙齿有可能再发生蛀牙。
![]() |
![]() |
图二和图五还显示比色板,我们必须把它(们)与制备过的牙齿和两旁的牙齿放在一起照相,然后将数值化的相片电邮给实验室,让技术员有依据给陶瓷牙面,牙冠或者牙桥配色 | |
| 图一:术前 | 图二:术中,四环素牙当中还是黄兮兮的 | 图三:术后,病人十分满意,好咬东西 | |
![]() |
![]() |
![]() |
![]() |
| 图四:侧切牙缺失,尖牙前移 | 图五:尖牙磨掉很多才能做成侧切牙样子 | 图六:牙桥(白色)在牙模型上 | 图七:牙桥刚戴上去,挺逼真的 |
第二个病人也二三十岁,先天性缺失一颗侧切牙。图四显示他一侧上颌前牙,在我们最右手边是中切牙(完整的那一颗),后者的左边是尖牙,那个位置原有应是缺失的侧切牙,所以尖牙因为没有侧切牙而慢慢地往前面移动,几乎移到侧切牙的位置上来了。尖牙后面(左边)是第一和第二前臼齿。理想的治疗是先作牙齿矫正,把尖牙推回它原有的位置(往后面推),然后在侧切牙的位置上植牙,不需要磨任何一颗好牙齿(处女牙,这里可是处男牙)。但是这位老兄是个急性子,不愿意接受慢腾腾的牙齿矫正,他要的是马上的结果。我们只好“遵命”,“下毒手”了:磨小两颗好端端的牙齿做牙桥。为了改善美容,我们必须把尖牙改成侧切牙的样子,也就是说我们需要磨掉许多牙齿组织(图五),术前尖牙比旁边的中切牙长(图四),磨牙后尖牙比中切牙短的多(图五),好像拦腰斩断似,磨短尖牙下面是两个用于比色的牙齿模板;我们还要必须把后面的第一前臼齿磨短。图六显示在牙模型上制作好的牙桥,戴上它后,病人喜出望外(图七)。虽然这个病人牙神经挺争气的,术后没有任何症状(磨牙并发症),但是他作出不少牺牲,失去我们身体最坚硬,最宝贵的东西:牙齿结构,它不能再复原了。植牙仿佛动枪动炮,但是它的靶子却是骨头,后者则会再生,从这点意义上来说,植牙反而更保守。总之,我们做牙桥前必须三思而行。如果牙桥已经做好,我们必须注意口腔卫生,知道如何清洗牙桥。如果您对牙齿美容有兴趣,请看成年专题,第五节牙冠,漂白,美容。
魏心牙科博士DDS, PhD, MS 初稿 12/7/2008, 最后一次修改 07/10/2015