牙科知識人人須知 (二十五)拔牙與即刻假牙
上一期我們討論了洗牙后注意事項,目的是消除患者對洗牙顧慮,只要牙醫或洗牙士(Hygienist)技巧好,病人與醫生配合,洗牙不會產生任何後遺症。但有些人固執己見,認爲洗牙特別是深洗對牙齒牙齦不好,洗過一兩次就中斷,牙周病病情沒得到控制,久而久之不少牙齒開始鬆動需要拔除,裝假牙。
這一期我們將探討拔牙后多久才能裝假牙,爲什麽醫生還要您做其他治療。與牙周炎不同,齲齒(蛀牙),外傷,牙齒磨損所造成缺牙一般是一兩個,如果您不願意做最好的修復方法(種植牙),您就得選擇橋(固定)或者活動局部義齒。爲了做橋或者活動局部義齒,我們必須利用缺牙前後牙齒(基牙Abutments)來支撐,可以想象,這些基牙負擔加重,如果它們牙周情況不好,幾年后可能也倒下去。爲了提高這些基牙預後,牙醫很可能推薦您在裝假牙之前做洗牙或深洗。如果基牙有蛀洞,也需要治療。
![]() |
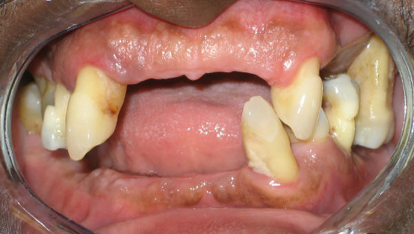
|
| 圖一:牙齒已經保留不了,需要全部拔除 | 圖二:拔牙后立刻戴上假牙,病人高興極了 |
拔牙后牙槽骨發生吸收,牙齦退縮,這一過程需要一到兩個月才能穩定,橋或者活動局部義齒製作還需要半個月到兩個月。如果您失去上前牙,可能不願意等那麽久。針對這個問題,醫生在拔牙(圖一)之前取模,送到牙科技工室製作臨時即刻義齒(活動,immediate denture),拔牙后您就可以馬上戴上臨時義齒,外觀得到改善(圖二)。臨時義齒還有其它好處,它可以起到術後止血作用,它可以給您一個機會判斷您是否喜歡活動義齒,如果您實在不習慣活動義齒,您還有選擇橋或種植牙餘地。如果您最後還是選擇活動局部義齒,臨時義齒可以留著備用,活動義齒像任何一個身外之物如眼鏡容易丟失。臨時義齒所用材料不是最好,容易坏,不適合長期使用。
儅您失去牙齒,一個或多個,您應給自己敲警鐘,口腔衛生多少有欠缺,應積極與大夫配合,勤刷牙用牙綫,儘早完成一系列治療計劃,完成之後應注意保養您的口腔,特別是橋或者活動局部義齒,因爲它們需要特殊處理,例如橋需要特殊牙刷和牙綫清洗,活動局部義齒晚上不能戴著睡覺,飯後洗刷義齒和牙齒。最後,定期囘診所復查洗牙對於那些戴著義齒的人來説更顯得重要,因為義齒畢竟是一個異物,有礙口腔衛生維持,如果您做的不好,醫生在復查時會及時為您指出。下一期繼續討論義齒。
魏心牙科博士Xin Wei, DDS, PhD, MS 初稿12/17/2005,最後一次修改03/23/2011