![]() |
![]() |
![]() |
![]() |
![]() |
![]() |
![]() |
![]() |
![]() |
Better Method to Start Treatment for Class II Division II Malocclusion?
Class II Division II malocclusion is characterized by the lingual inclination of the upper anterior teeth so that there is not enough clearance to place brackets for the lower incisors (Fig.1). Composite has to be placed on the occlusal surface of the molars (Fig.3 *). The patient must have difficulty in mastication for a few days. Is there a better method to avoid the inconvenience?
The second issue for this case is crowding of the lower incisor. There is no space between brackets LR 1 and LL 1 so that the alastiks at the sites are not fully engaged (Fig.2). Ideally the bracket at LL1 should be not placed initially. When there is severe crowding, lines for each bracket should be drawn. Brackets should be tried in without application of bonding material. What will happen in this region next appointment?
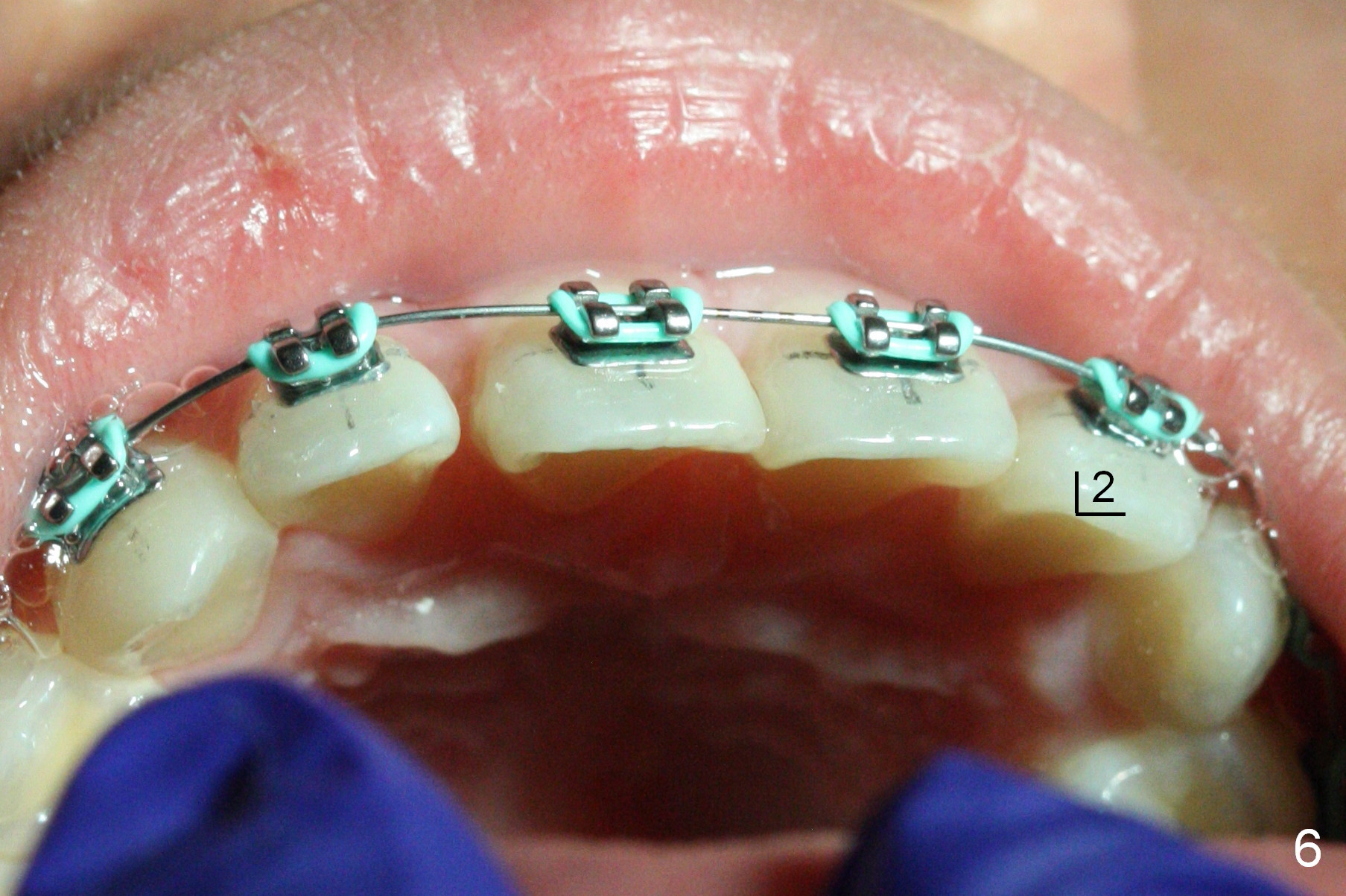
Twelve days post banding, UL2 is buccoincisally displaced due to the presence of the rotation wedges at UL1 and 3. The latter are removed.
Ten days later UL2 returns to normal position (Fig.6). UR2 is slightly distally displaced; after removal of the rotation wedge at UR1, the same .014' niti wire is re-used (Fig.4). It is expected that UR2 should be able to return to normal position next visit. The wire engagement improves at LR1 (Fig.5). To facilitate LL1 wire engagement, power chain is placed between LL 1 and 3.
Diastema appears between LR2 and 3 (Fig.7) 2.5 months post banding, while open coil spring is placed between LL1 and 3 (Fig.8). Due to tension between LR 6 and 7 while insertion of 18 SS wire (saved), the lower 16 niti wire is reused whereas the upper wire is changed to 18 ss (Fig.7,8). Two rules are violated in this case. Stiffer wire (18 ss) should be used while placing open coil spring. Ligature wire has to be used to engage an open coil spring (Fig.8: 1). The advantage of using softer wire is easy engagement to LL2 bracket when the space is created. Using alastik in LL3 is convenient. In the next few appointemtns, we will detect any adverse effects of rule violation. In fact alastik holds the wire in place without any ill effect.
Before debanding, her young brother reports relapse due to loss of the lower suck down retainer and her preop model is reviewed (Fig.9). What are/is the appropriate retainer(s) for her?
Return to Ortho Cases
Xin Wei, DDS, PhD, MS 1st edition 10/09/2016, last revision 03/25/2018