![]() |
![]() |
![]() |
|
![]() ![]() |
![]() ![]() |
||
Long Implant
A 60-year-old woman has multiple restoration and no lower posterior teeth (replaced with RPD). The tooth #7 fractures (Fig.1). When an immediate implant is placed (Fig.2, no Antibiotic) with immediate provisional (using the existing crown), occlusal clearance is critical. Check overbite often and take photos. If the root seems to be ankylosed, socket shield will be performed.
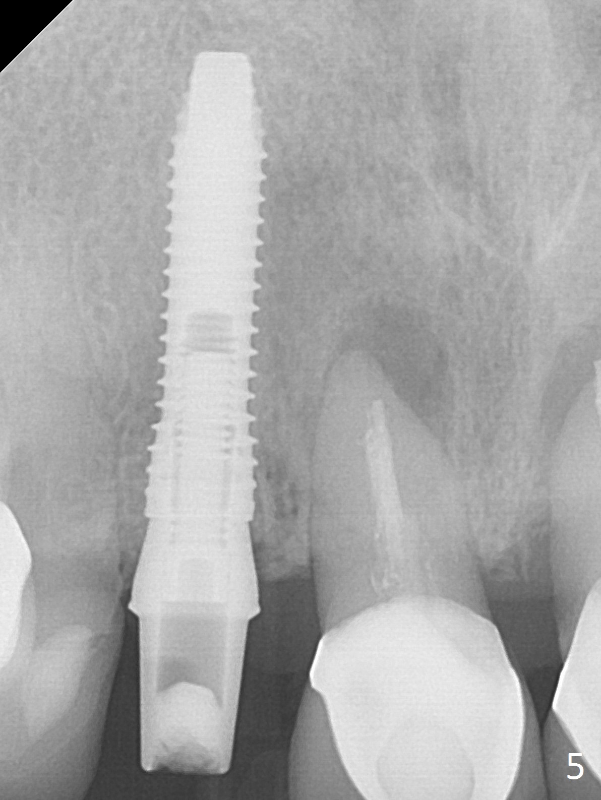
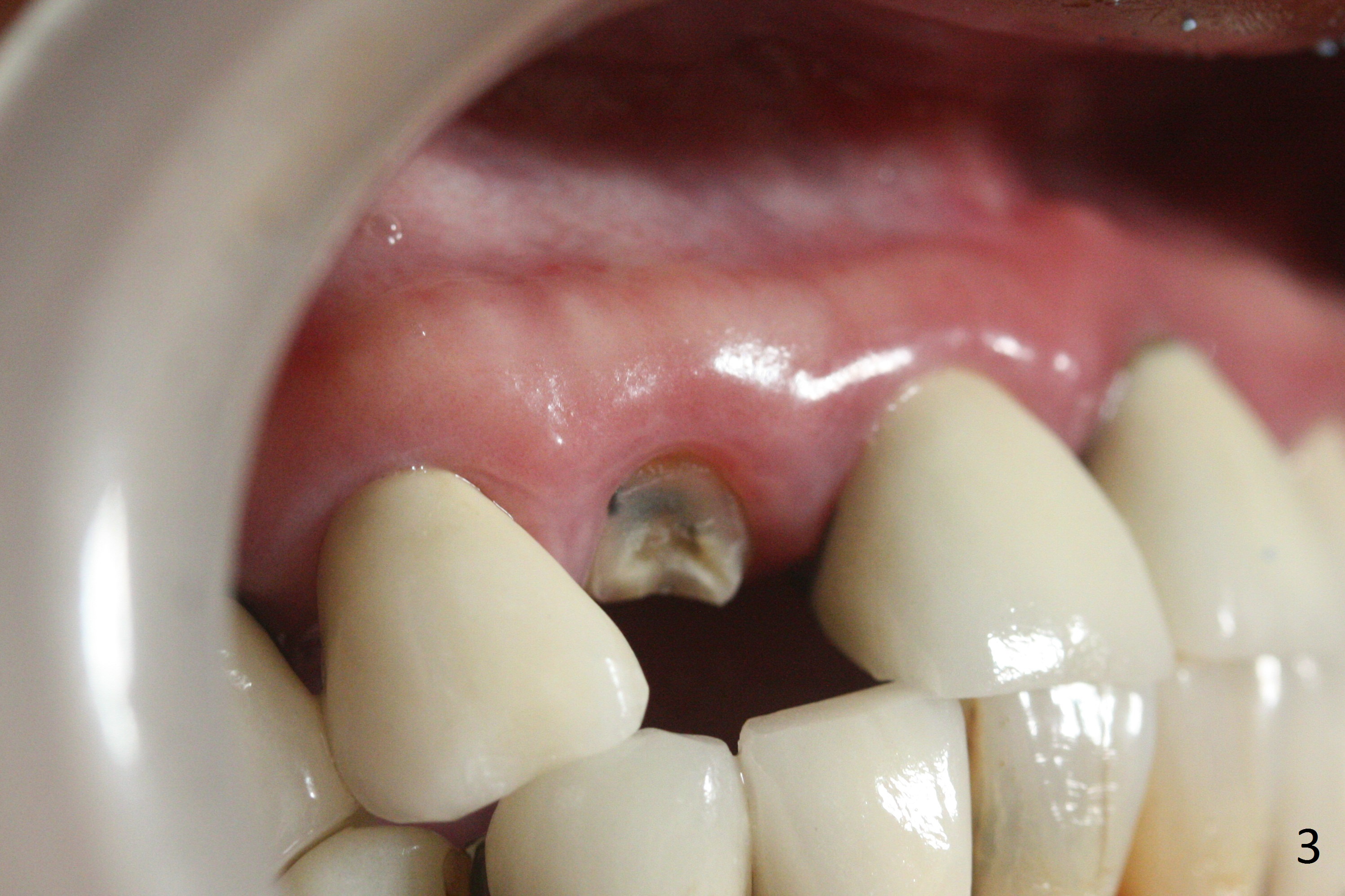
In fact the residual root (Fig.3) is easy to remove. A 3.8x16 mm implant is placed (Fig.4 (with 2 mm buccal gap)) at the level as planned (Fig.2). Insertion torque is acceptable. After placing a 4.5x5(3) mm gold-coated abutment and allograft (Fig.5), an immediate provisional is fabricated (the existing crown is lost). The patient is pleased with the quick, painless procedure.
She returns for impression 4 months postop; the abutment margin is substantially subgingival (Fig.6 arrow). The abutment is changed to 4.5x4(4) mm one before impression. There is no bone resorption 9 months post cementation (Fig.7).
Return to Upper Incisor Immediate Implant, IBS, Socket Shield #9 Xin Wei, DDS, PhD, MS 1st edition 03/20/2017, last revision 02/21/2021