![]() |
![]() |
![]() |
||
![]() |
![]() |
![]() |
![]() |
|
![]() |
![]() |
|||
Why Is Parallel Pin Not Inserted As Deep As Drill?
Although there is buccal atrophy at #14 (Fig.4 *), no bone graft is going to be done since it is asymptomatic. It appears that the implant is too large for the site.
A parallel pin is not able to be inserted as deep as a 2 mm drill at #13 (Fig.1); at that time perforation of the sinus floor is not detected (arrowheads).
A Linderman bur is used to move the initial osteotomy distal. By the time of 3 mm in place, the trajectory seems to have improved; the sinus floor has been penetrated (Fig.2). Retrospectively, the parallel pin is not as sharp as the 2 mm drill to penetrate the perforated sinus floor (Fig.1).
After placement of allograft in the sinus (Fig.3 <), a 4x11.5 mm UF implant is placed with 45 Ncm. Following bone graft placement in the buccal gap, Osteogen tape lingually and insertion of a 4.5x4(3) mm abutment, an immediate provisional is fabricated.
The tooth #12 is found to have crack 3 months postop. Initial depth will be 17 mm for 3.8x13 mm implant (Fig.5; Clindamycin). The tooth has two roots (Fig.3). Osteotomy is to be created in the septum.
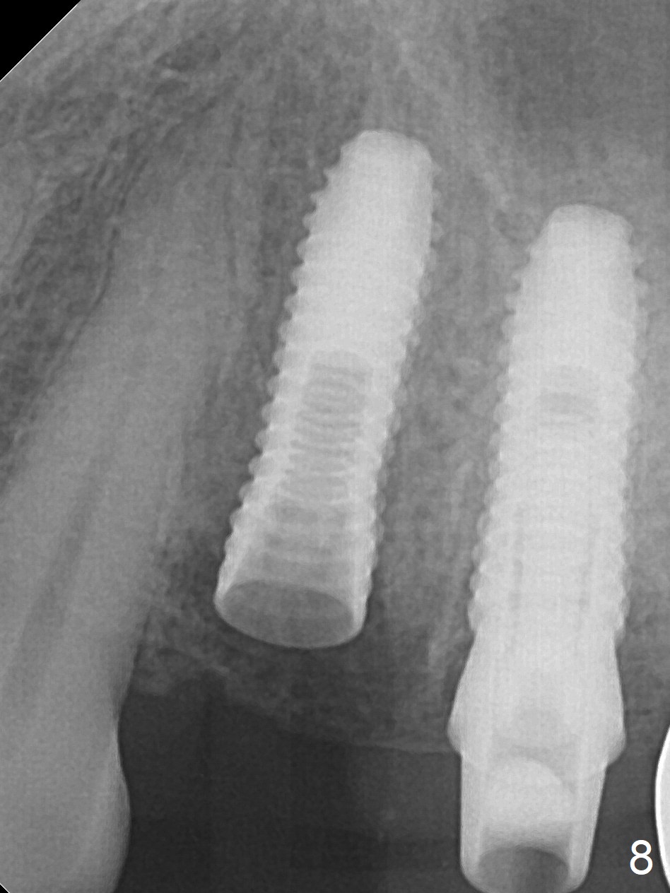
Preop photo shows palatally subgingival fracture (Fig.6). Initial depth is 15 mm at #12 after extraction (Fig.7) and then is extended to 17 mm. In fact the osteotomy is created in the palatal socket, since the septum is thin, while the buccal socket has its apical perforation. A 3.8x13 mm implant is placed (Fig.8); a 4.5x4(3) abutment and allograft are placed (Fig.9 *) prior to immediate provisional fabrication.
Return to
Upper Bicuspid Immediate Implant IBS
5
8
Xin Wei, DDS, PhD, MS 1st edition 04/27/2017, last revision 08/10/2017