![]() |
![]() |
![]() |
|
![]() |
![]() |
![]() |
|
![]() |
![]() |
![]() |
|
![]() |
![]() |
![]() |
|
![]() |
![]() |
![]() |
![]() |
![]() |
![]() |
||
Abutment Diameter and Cuff Length
Preop exam show that the tooth #14 appears to be more severe than #18. When the former is extracted with forceps (not so easy), the mesial portion of the mesiobuccal root splits. The latter may be the reason for discomfort and one of the outcomes of advanced peridontitis. The septum is wide enough to use 4.3 mm Magic Drill (MD) following 1.6 mm pilot drill and Marking bur. A 5x13 mm IBS implant is placed apical to the mesial and distal crest and coronal to the septum (Fig.2,3). Insertion torque is ~ 35 Ncm. A 6.0x5.7(4) mm pair abutment is chosen over a 6.5 mm one, because the implant is placed somewhat distally (Fig.4,5). If the implant were placed more apically, the 4 mm cuff would be short for restoration. Allograft and autogenous bone harvested from the MD is placed around the coronal portion of the implant and the abutment cuff (*). Acrylic is spread around the abutment to hold the bone graft in place (without trimming).
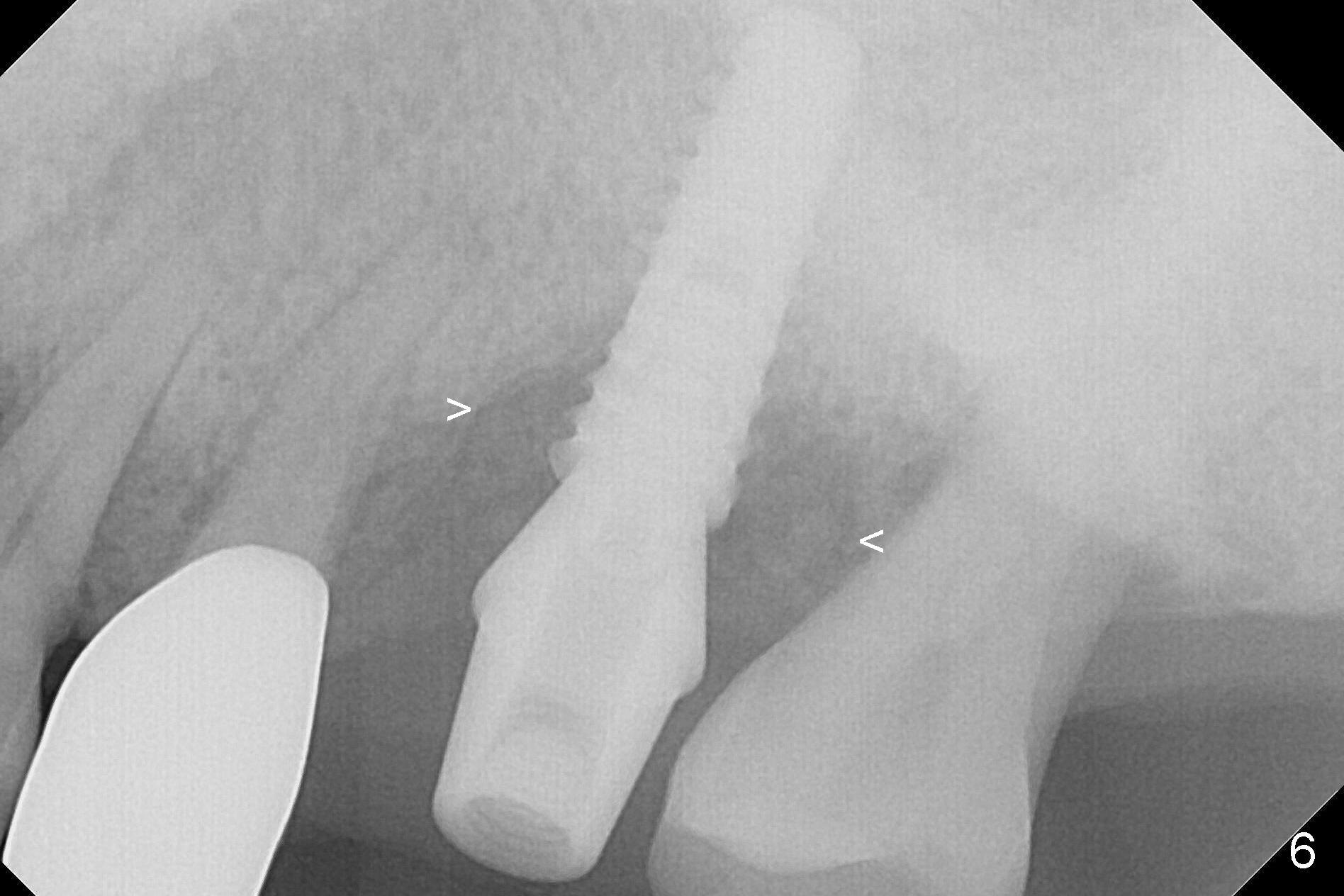
The amount of the bone graft mesial and distal the implant seems to reduce 3 and 4 months postop, respectively (Fig.6,7 arrowheads). When the acrylic is cut off 4 months postop, the bone graft is loose. The gingiva is unhealthy. The abutment and implant are loose. A healing abutment is placed (5x4 mm). The implant is torqued to 35 Ncm 6 months postop with the healing abutment reapplied. The patient will return for follow up nearly 9 months postop. A larger healing abutment will be used if the implant is stable. Two weeks later, use a smaller restorative abutment for easy impression. In fact the implant is unstable with #15 mesial shift due to abnormal occlusion with #17 (Fig.8). Bone density around the implant is low (* in Fig.9 (PA), 10,11 (CT sagittal, coronal sections)). A healing screw is placed for self healing. A 2nd option is to remove the implant (Fig.12), BEB (Fig.13) and place the implant deeper (Fig.14) or larger one (5.5-6.5x13 mm). The 3rd option is to place larger and longer implants (Fig.15 (tapered), 16 (cylindrical)). The implant access has partially closed 14 months postop, but there is a small buccal opening with sanguine exudate. Incision reveals severe bone loss around the implant; the mobile tooth #15 is extracted (Fig.17). After debridement and irrigation with normal saline, Vera Graft (Fig.18 *) and Collagen plug are placed with periodontal dressing.
Purulent discharge persists postop. Remove the implant and replace with IS one.
Return to
Upper
Molar Immediate Implant, Prevent
Molar Periimplantitis (Protocols,
Table), #4,
8,9,
29
Xin Wei, DDS, PhD, MS 1st edition 10/18/2016, last revision 12/11/2018