![]() |
![]() |
|
![]() |
![]() |
![]() |
Reamers for an Adjacent Immediate Implant at #3
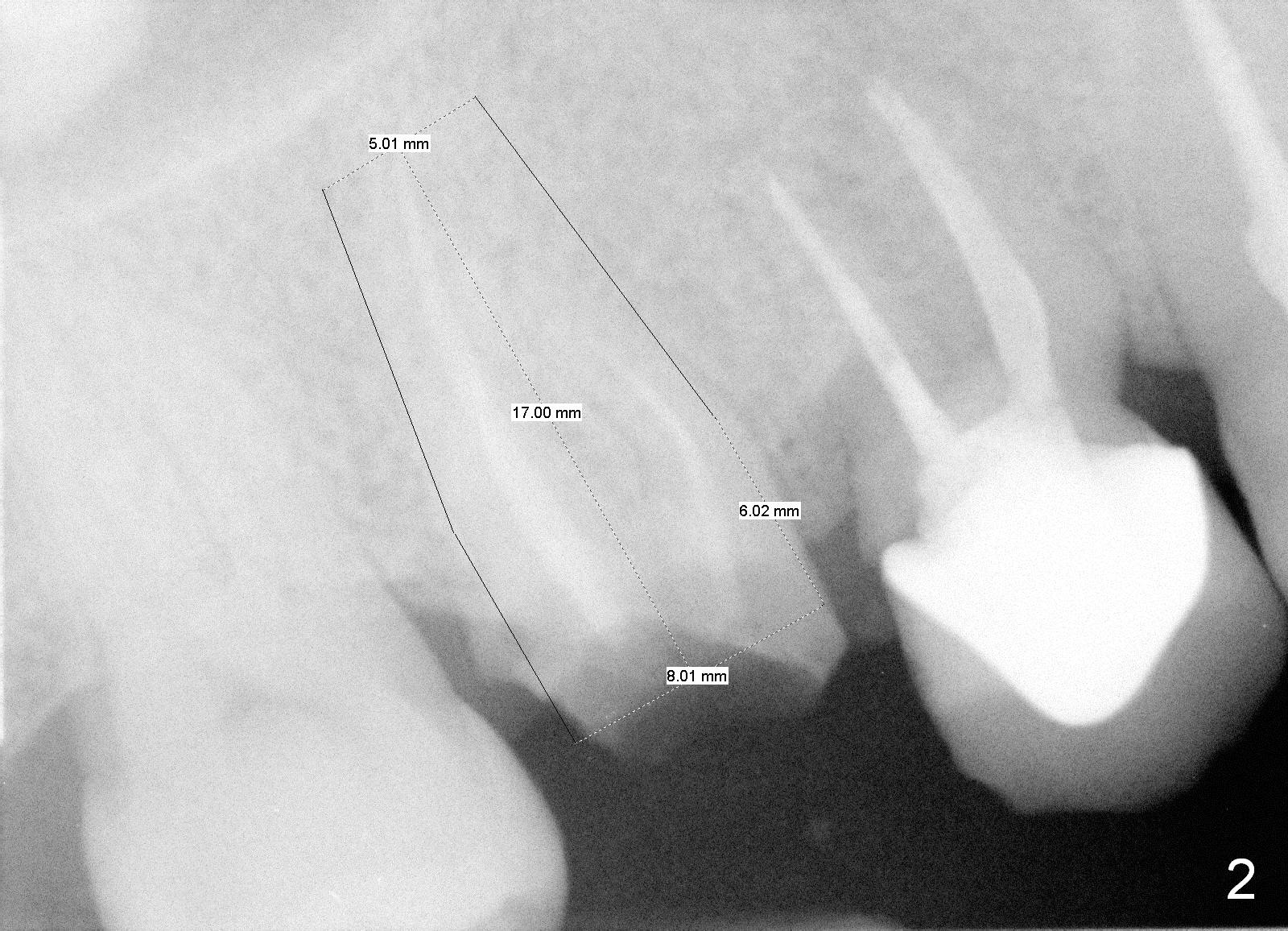
A 47-year-old man has multiple restoration. The crown of the tooth #3 has been recemented several times in the last 3 years (Fig.1). Before placement of an immediate implant at #3 (Fig.2), the root of the adjacent tooth is diagnosed to have crack and replaced by an immediate implant (Fig.3).
The last time the tooth #3 crown was recemented, there was caries in the remaining root stump. The tooth is deemed non-salvageable. The roots will be sectioned prior to extraction. There is no sign of periodontal disease. The bone is expected to be dense. It should be easier to use reamers for osteotomy than expanders or osteotomes. A relatively smaller implant should be able to achieve primary stability in the septum (Fig.4, as compared to Fig.2). The deeper portion of the sockets will be filled with collagen plug, while bone graft is used to cover exposed implant threads. If the 17 mm long implant has questionable stability, longer one will be placed (Fig.5). A 5x5 mm abutment will be most likely used for the shorter implant, whereas a shorter abutment for the longer implant.
Return to Upper Molar Immediate Implant
Xin Wei, DDS, PhD, MS 1st edition 06/14/2015, last revision 06/19/2015