![]() |
![]() |
![]() |
Bone Expansion, Sinus Lift and Deep Implant Placement
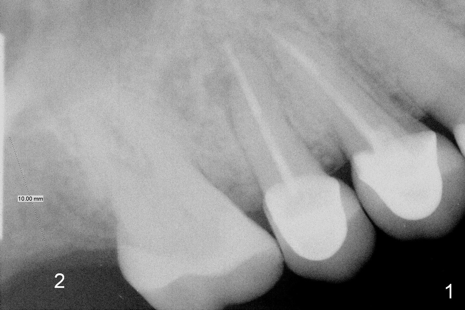
A 60-year-old woman has lost the tooth #2 for a few years (Fig.1). Since then, three of her anterior teeth have fractured and required implant placement (#8, 10,11). It appears that restoration of the tooth #2 may alleviate further anterior breakdown. There are 2 challenges associated with this case: supraeruption of the opposing teeth and low bone density (40-200).
To tackle the 1st challenge, place an implant as deep as possible and reduce the opposing tooth as early as possible (immediately after implant placement with immediate provisional if possible).
To handle the 2nd challenge, start bone expansion with #15 and osteotomes (from 8 to 11 mm). Set implant spacer at 4 mm (Fig.2). Prepare allograft (.5-1 mm) and Osteogen (4:1 ratio) for sinus lift. Place 8 mm stopper on the larger condenser from Sinus Master Kit.
Return to Upper Molar Immediate Implant
Xin Wei, DDS, PhD, MS 1st edition 06/12/2016, last revision 06/29/2018