![]() |
![]() |
||
![]() |
![]() |
![]() |
![]() |
Longest Implant for Lower Molar
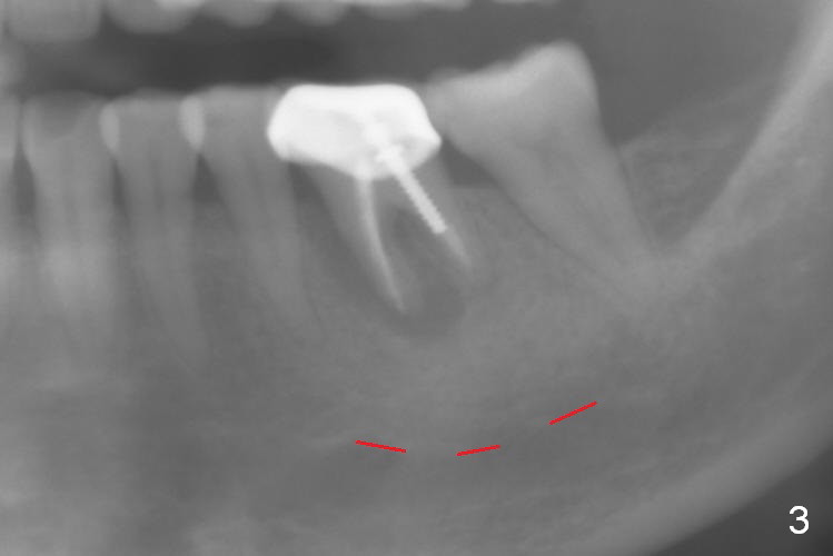
A 58-year-old lady has a long-standing periapical lesion with several episodes of acute infection (Fig.1-3, taken 10, 9 and 2 years ago, respectively). Explore the socket for size and wall integrity (Clindamycin). If the bony defect is not extensive, place a longest implant (18 mm bone-level, 20 mm tissue-level) with moderate diameter (5.5, 6 mm). Otherwise use a shorter, but wider tapered implant (7x12 mm (bone-level), 7 or 8x17 mm (tissue-level)). If the socket is extremely large, consider using 7 or 8 x20 mm cylindrical tissue-level implant. Use Bicon 2 mm pilot drill with extension to measure the socket depth and obtain 3-6 mm new bone or until 20 mm (gingival margin). Take PA. The 1st option is to use UF 3-4.7x18 mm drills at 50 RPM. Make sure that the depth is reached (septum crestal level) and check osteotomy wall integrity after each drill. Then place a 5 or 5.5x16 or 18 mm implant (Fig.6). The 2nd and 3rd options are shown in Fig.4 and 5. Due to severe infection and pain, a shorter implant is placed.
Return to Lower Molar Immediate Implant, Prevent Molar Periimplantitis (Protocols, Table) Xin Wei, DDS, PhD, MS 1st edition 07/02/2016, last revision 08/25/2018