![]() |
![]() |
![]() |
![]() |
Implant to be Placed Close to Where the Bone is More
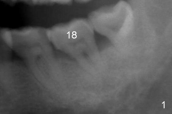
A 59-year-old man has history of chronic periodontitis (Fig.1 (taken in 2005), 2 (2014), 3 (2016)) involving the tooth #18. The bone loss may be complicated by bruxism. Large crown vs. narrow roots contributes to severe bone loss. An implant should be as long as possible and placed as coronally as possible to tackle crown/implant ratio issue. To prevent peri-implantitis, the implant may have to be placed deep. It appears that the bone height is more favorable mesially than distally (Fig.3). After extraction of the supraerupted and loose tooth (Fig.4; no Antibiotic), explore the socket to determine the favorite osteotomy site, most likely the mesial socket, lingually.
Return to
Lower
Molar Immediate Implant, Prevent
Molar Periimplantitis (Protocols,
Table),
IBS
Xin Wei, DDS, PhD, MS 1st edition 12/17/2016, last revision 12/29/2018