Labial Plate Repair

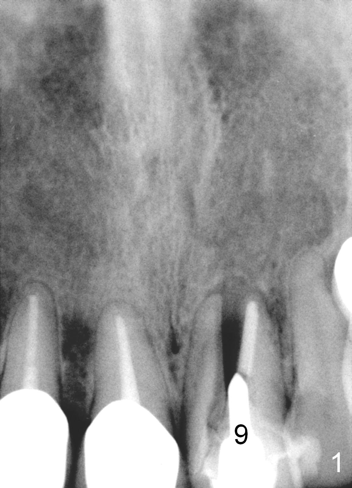
A 64-year-old woman (XP) has multiple restoration, requesting implant replacement for the loose upper left central incisor (Fig.1).  It is asymptomatic, although there is labial swelling with purulent discharge from the labial gingival sulcus.  The labial plate must have been absent.  After granulation tissue removal and socket treatment with no antibiotic, place a 4x16 mm implant in a correct position (Fig.2).  Place Osteogen tape against the labial defect and then bone graft with a small piece of gauze in the implant well.  Since the lady is small in stature with possible osteoporosis and X-ray is particularly dark (Fig.2 (Fig.1 has been lightened in brightness)), use low voltage when taking new X-ray.  Take preop photos to show labial swelling and purulent discharge from the labial gingival sulcus.

Return to Upper Incisor Immediate Implant

Xin Wei, DDS, PhD, MS 1st edition 07/13/2016, last revision 01/19/2018