![]() |
![]() |
![]() |
![]() |
![]() |
|
Root Fracture of Lateral Incisor with Possible Buccal Plate Defect
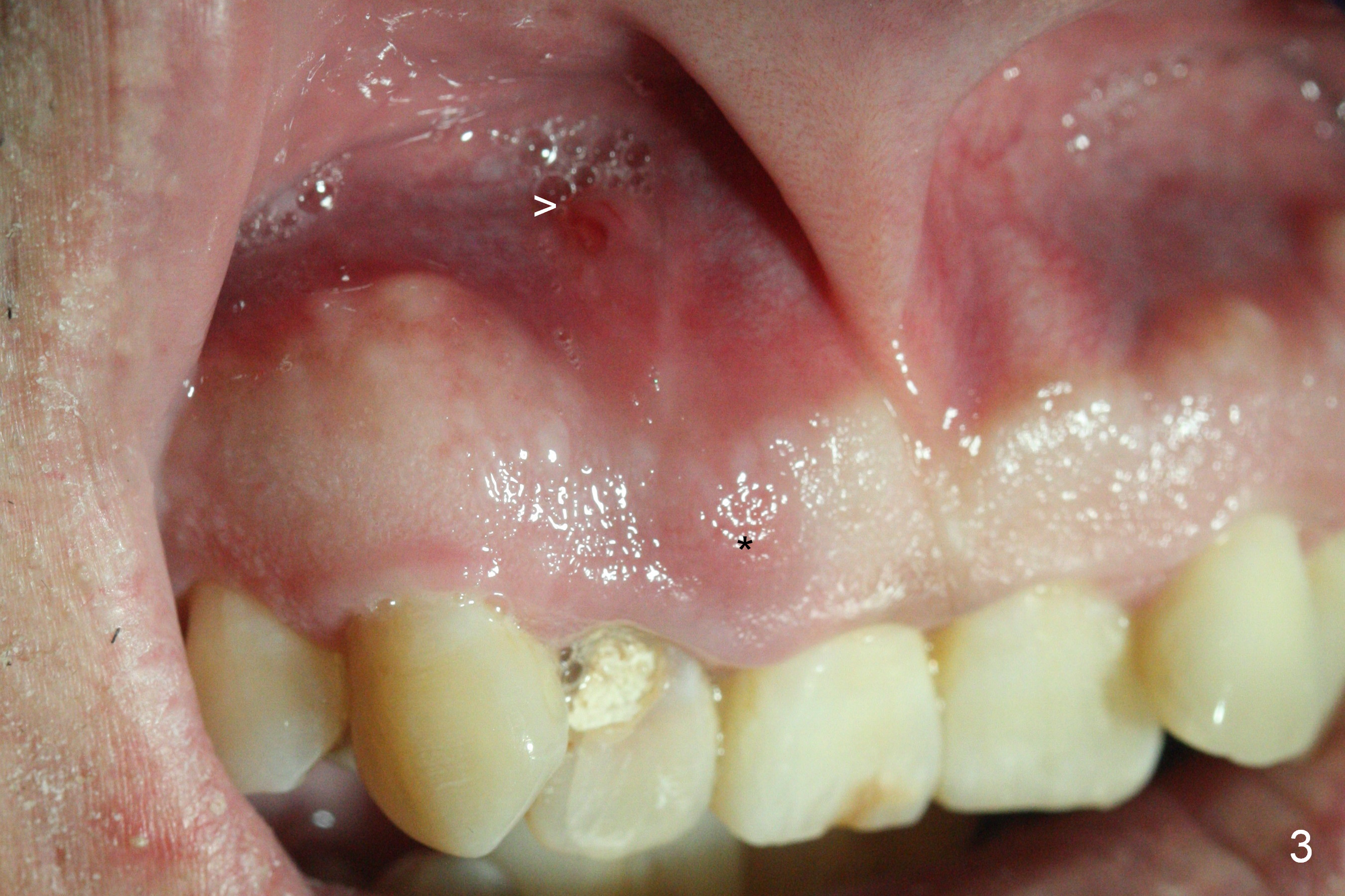
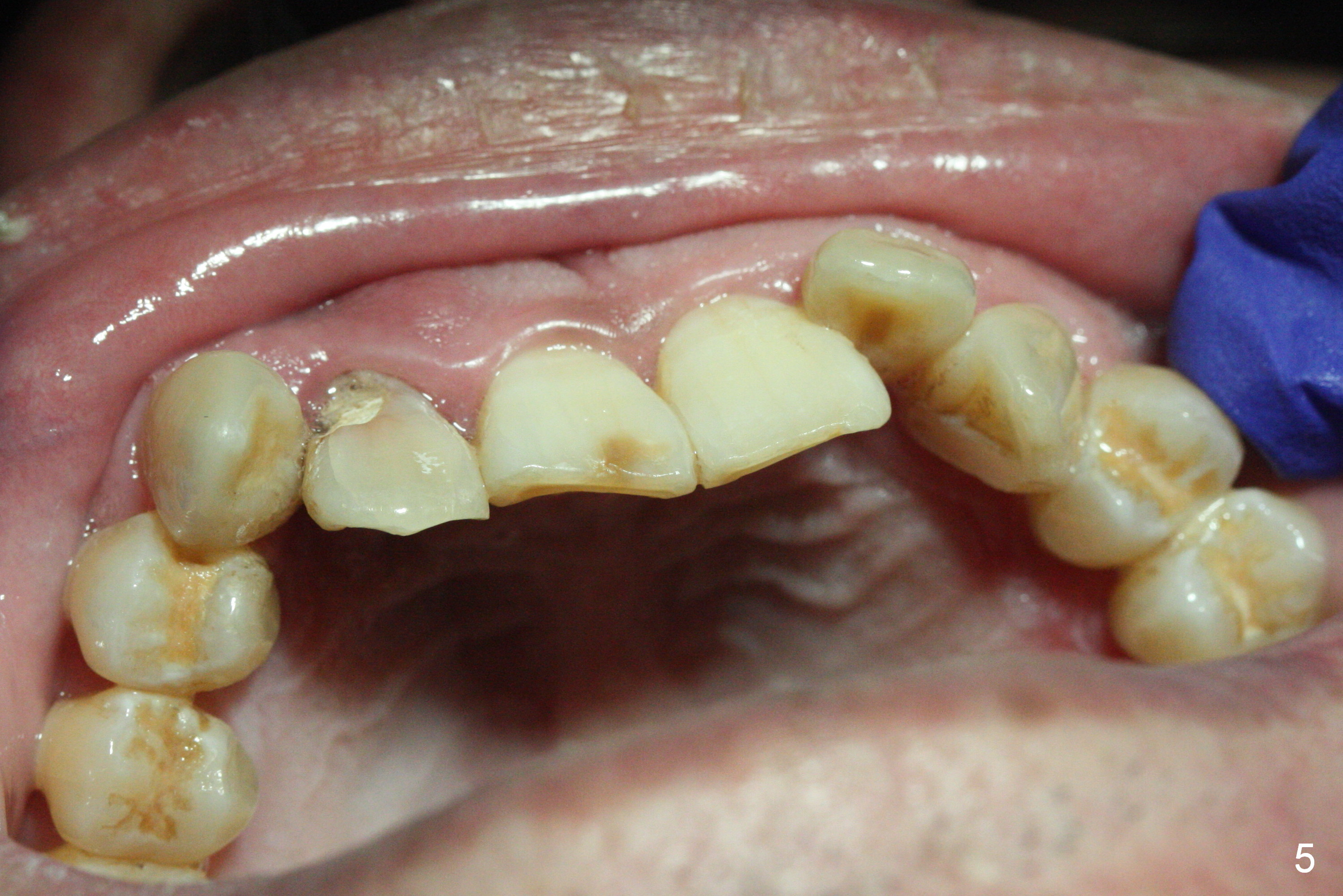
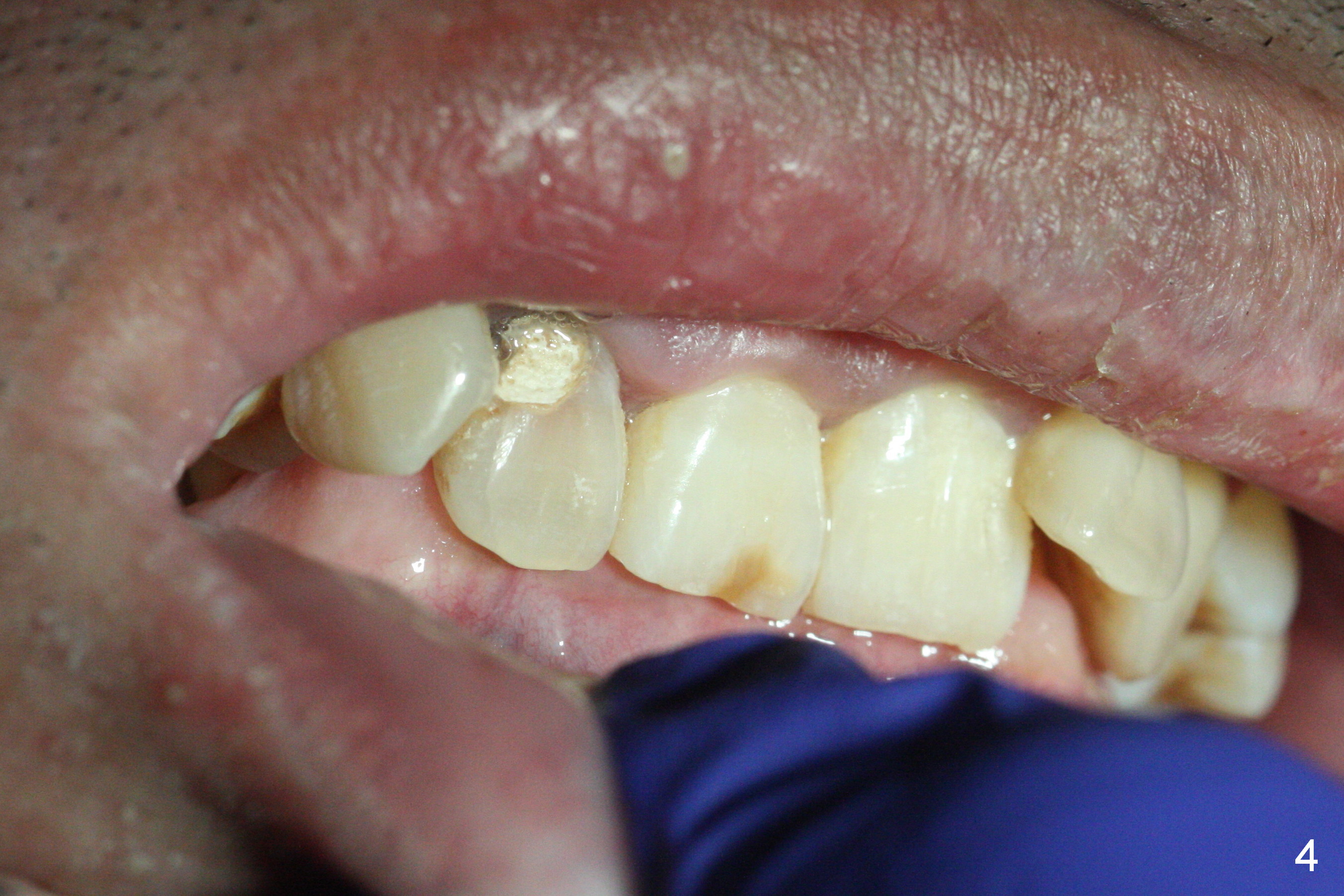
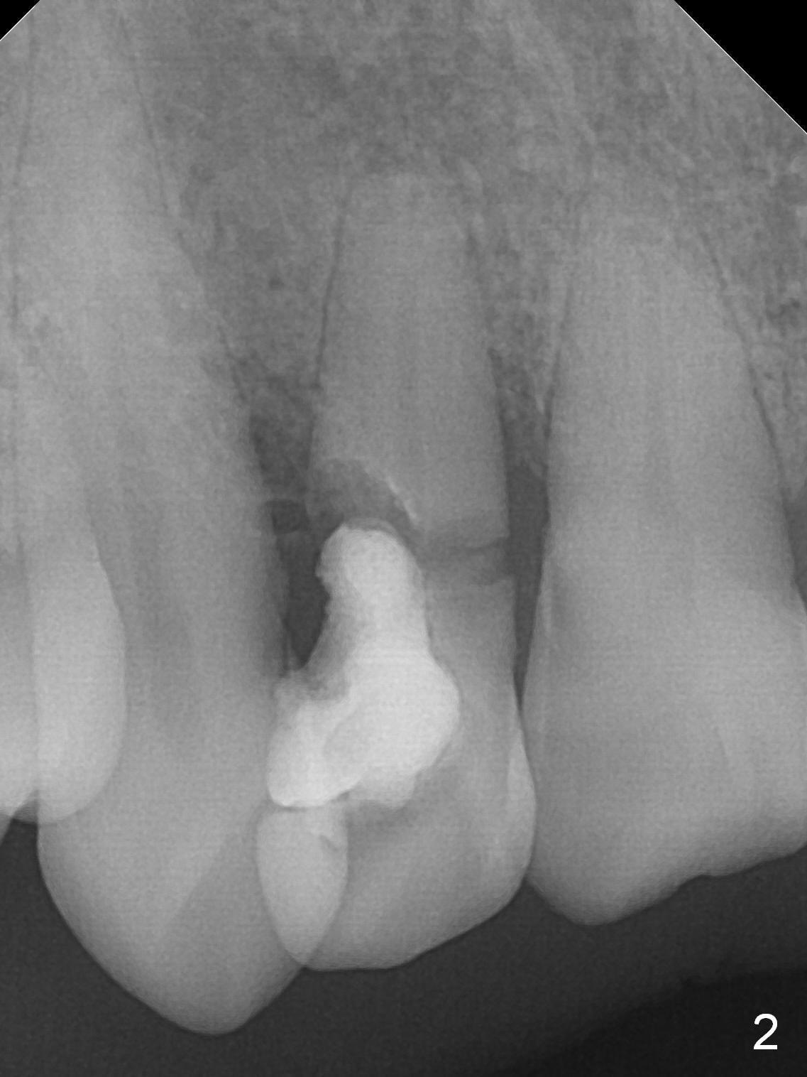
A 52-year-old man had a non-restorable lateral incisor 3 years ago (Fig.1). It fractures lately (Fig.2) with a buccal abscess (Fig.3 *) ) and fistula (>, possible severe buccal plate defect, prepare PRF). Severe deep bite (Fig.4) and malocclusion (Fig.5) will present a challenge to implant provisional restoration.
After extraction (no Antibiotic socket treatment), start osteotomy in the palatal wall for a few mm in the native bone, insert a parallel pin and check bite. Adjust the trajectory and position of the osteotomy as early as possible. If the bone is dense, extend osteotomy depth to 18 mm for a 3.8x15 or 16 implant. Otherwise 20 mm for 3.8x18 mm one. The final drill will be 2-3 mm shorter if the bone density is low.
If the deep bite is a problem, place a healing abutment or the immediate provisional without the palatal apical wall. Or ask the patient in advance whether the right lateral can be placed as labial as the tooth #10 or not (Fig.3-5).
Return to Upper Incisor Immediate Implant, IBS Xin Wei, DDS, PhD, MS 1st edition 01/24/2017, last revision 12/30/2018