Design for Stability M

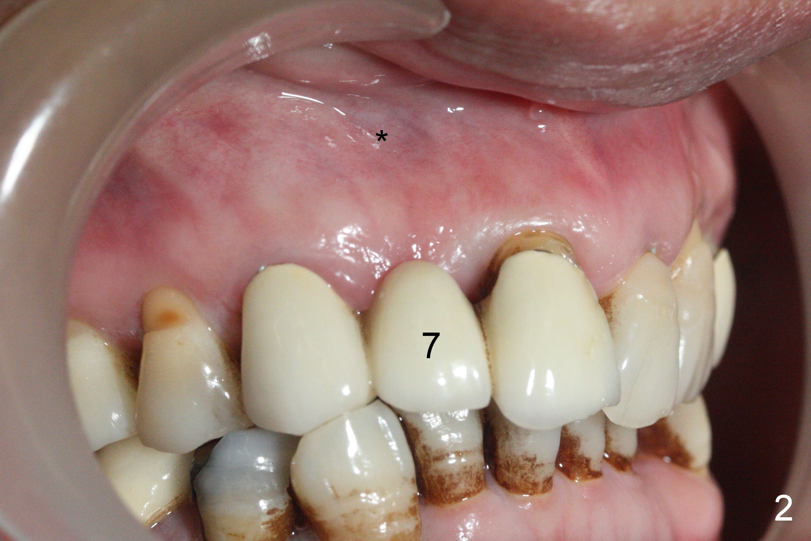
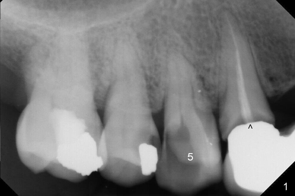
A 43-year-old woman has poor dentition including the tooth #5 (Fig.1) for RCT (Fig.3) and the teeth #2, 30 and 31 are missing.  The retainer at #6 fractures (Fig.1 *).  After sectioning the bridge between #7 and 8, fabricate prefabricated post at #6 if the latter is salvageable.  Otherwise extract (Clindamycin) and implant (Fig.3).  Anyway, a 3-mm or smaller one-piece implant is to be placed at #7 for stability and retention.  Pay attention to the labial concavity at #7 (Fig.2 *).  Surgical stent has been made.

Return to Upper Canine Immediate Implant, IBS Shield

Xin Wei, DDS, PhD, MS 1st edition 01/04/2017, last revision 02/20/2021