Upper Premolar Immediate Implant, IBS Xin Wei, DDS, PhD, MS 1st edition 08/29/2017, last revision 09/10/2020

RPD Clearance

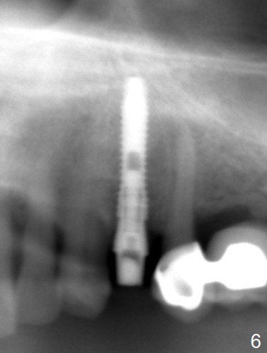
After extraction of the oval-shaped residual roots at #12 (Fig.1), osteotomy is initiated in the palatal socket for 18 mm; since the root of the canine curves distal (Fig.2 red dashed line), the osteotomy cannot afford to move mesial and extend more apical.  A 3.8x15 mm implant is placed with > 50 Ncm (Fig.3).  With immediate placement of a 4.5x4(3) mm abutment, an immediate provisional is fabricated to close the sockets (Fig.4 P).  The provisional has clearance from the RPD clasps (Fig.5).  In fact the implant could be longer, as shown by immediately postop panoramic X-ray (Fig.6).  The implant seems to be osteointegrated 3 months postop (Fig.7).  The tooth #13 is symptomatic with caries (Fig.8 C) 7 months post #12 crown cementation; the #13-15 FPD dislodges.  The upper left quadrant is cold and hot sensitive 2.5 months post RCT (Fig.9); although there is mild percussion at #13, pulpal test shows that the tooth #15 has lingering pain.  The FPD was recemented temporarily after RCT; it cannot be removed.  The implant crown has been loose for several months during the pandemic before he returns 2 years 7 months post cementation.  In fact the abutment has been not seated completely (from Fig.3 to 9).  The crown/abutment is removed from the mouth; the crown is sectioned and separated from the abutment; the latter is reseated, but incompletely (Fig.10 <).  With suspicion of the mesial crestal contact, profile drills 4.6 and 5.5 mm are used without effect.  A new (old probably being worn) and longer (easy to turn in the narrow space) abutment is finally seated completely (Fig.11 (no gap)).  After occlusal adjustment, abutment level impression is taken for a new crown.