![]() |
![]() |
![]() |
|
![]() |
![]() |
||
Bone-Level Implant Slightly Longer than Root
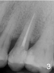
A 48-year-old man (CM) finished root canal therapy for the tooth #13 2.5 years ago (Fig.1). The tooth fractured lately (Fig.2). In spite of the fact that there is no periapical radiolucency in the most recent PA (Fig.3), the socket will be treated with No Antibiotic. Osteotomy is initiated at the junction of the lower and middle thirds of the palatal wall. The palatal cusp subgingival fracture may cause bone resorption in the palatal wall (at the crest). A 14 (Fig.4) or 13.5 (Fig.5) mm bone-level implant is probably going to have 8 mm contact with new bone.
Return to Upper Premolar Immediate Implant
Xin Wei, DDS, PhD, MS 1st edition 09/17/2015, last revision 01/19/2018