![]() |
![]() |
![]() |
|
![]() |
![]() |
![]() |
|
Dummy Implant
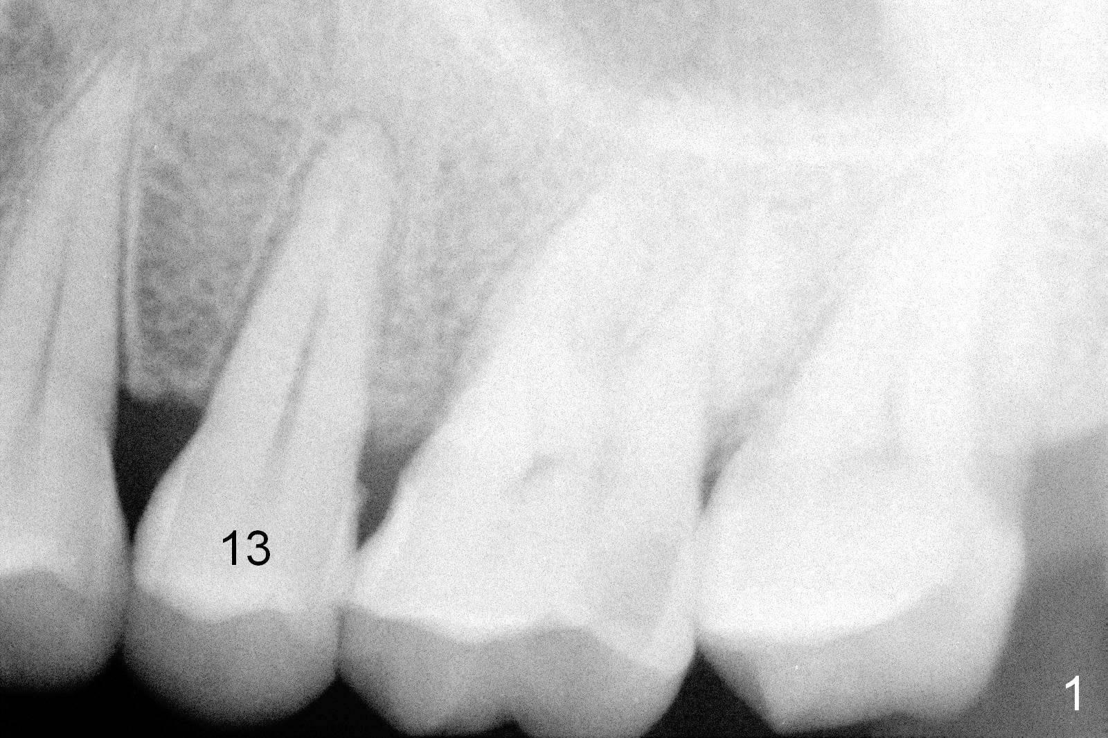
A 47-year-old man returns to clinic with chief complaint "top left tooth chips". Exam reveals subgingival fracture of the lingual cusp of the tooth #13 (Fig.1). A 4.5x17 mm tissue-level implant and 3.5x3 mm abutment appear to be appropriate for the site (Fig.2 (^: sinus floor)). After extraction and socket treatment with 1:50,000 Epinephrine gauze, a 4.5x20 mm tap is placed at the depth of 17 mm. Although the tap has achieved stability, a PA taken with it does not the superior end due to the interference of its long handle (Fig.3 H). A dummy implant (4.5x17 mm) is placed to show its approximation to the sinus floor (Fig.4). After removal of the dummy implant, the definitive implant is placed with certainty with the planned abutment (Fig.5 A). An immediate provisional is placed after bone graft and membrane.
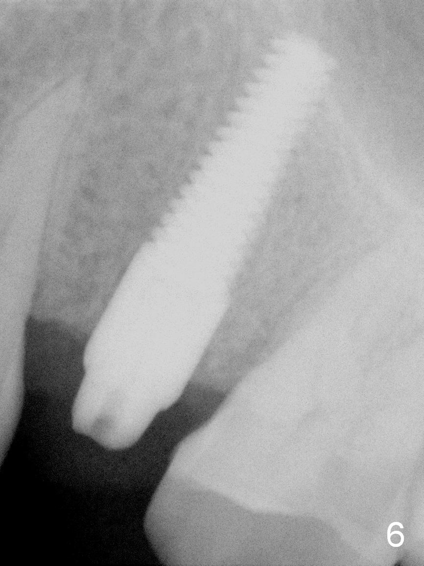
The immediate provisional is found to be fractured 4 months postop. PA is taken to confirm osteointegration (Fig.6 periimplant space closed). With implant threads buried deep in the bone, there is less likelihood to develop periimplantitis.
Return to Upper Premolar Immediate Implant,
Posterior Immediate Provisional
Xin Wei, DDS, PhD, MS 1st edition 11/01/2015, last revision 01/19/2018