![]() |
![]() |
![]() |
Prevent Periimplantitis Associated with Smoke and Periodontitis
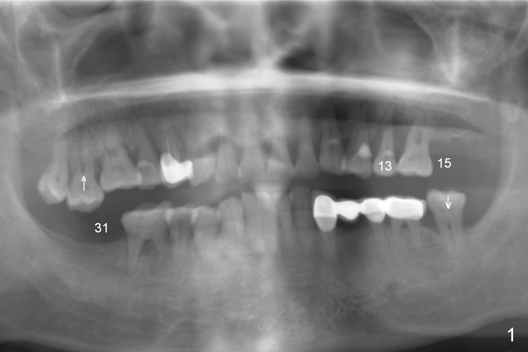
A 59-year-old man (smoker) is concerned about his oral conditions (periodontitis, partial edentulism (loss of #15 and #31) and #13 root fracture (*, possibly bruxism (sufficient clearance for provisional)), Fig.1,2) and wants to have a change. First SRP will be done on the left side with #13 extraction (Metronidazole, large socket (bone loss), large gauze) and immediate implant. Considering severe bone loss and bone height (sinus floor: red dashed line in Fig.2), a long narrow UF implant will be placed away from the lesion (most likely palatal if the buccal plate is lost) and deep with possible using 5-mm cuff abutment. To further prevent periimplantitis, smoke reduction is to be enforced preop (ask the patient about the cessation with care immediately prior to surgery) and PRF membranes (2-3) will be placed over the defective plate and into the sinus if needed. Also prepare sufficient amount of bone graft (especially to be placed mesial to #14).
Return to
Upper
Premolar Immediate Implant,
Systemic Diseases, IBS
Xin Wei, DDS, PhD, MS 1st edition 01/21/2017, last revision 04/29/2018