![]() |
![]() |
![]() |
![]() |
![]() |
![]() |
![]() |
![]() |
![]() |
![]() ![]() |
![]() |
![]() |
Implant Placed Deep
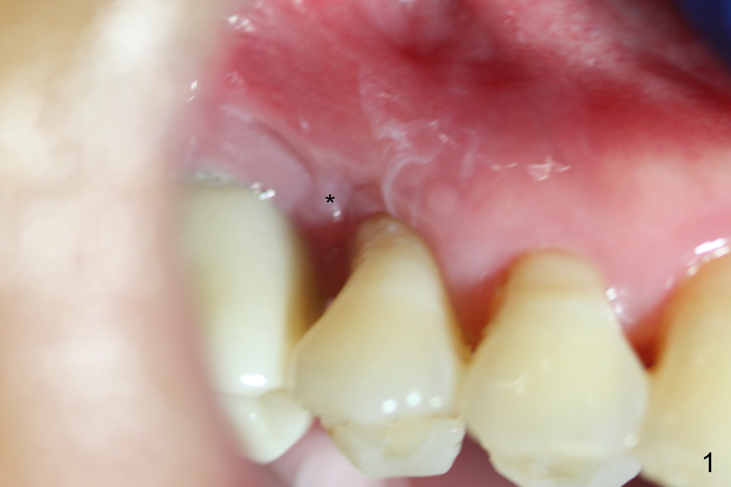
The distal buccal (Fig.1) and palatal (Fig.2) papillae (*) are recessive at the tooth #4. Following extraction and use of 3.8 mm Magic Drill, a 4.5x13 mm implant is placed lower than the mesial crest (Fig.3) to reduce the chance of the distal implant thread exposure. The latter is a measure to decrease peri-implantitis. A 4.5x5.7(4) mm pair abutment is placed (Fig.4,5). The remaining socket is filled with allograft/Osteogen placement. The large space between #3 and 4 implants is occupied by the healthy gingiva, where bone graft cannot get in.
Six days postop, the distobuccal margin of the immediate provisional appears to be overbuilt (Fig.6 *). The overhang was made to cover the distobuccal opening of the socket (Fig.4). In addition to daily use of water pik, cleaning with .25% Sodium Hypochlorite contributes to the shiny surface of the provisional. From now on, use cotton pellets soaked with the diluted bleach to clean the provisional and abutment (if exposed) every visit. For this case, the overhang will be trimmed when the patient returns in 2 weeks so that the distal papilla may grow downward. The mesial contact should be re-established (^).
These are done 3 weeks postop (Fig.7) with granulation tissue having formed (*). The teeth #14 and 18 become symptomatic 4 weeks postop.
The distal papilla reforms buccally (Fig.8 *) and palatally (Fig.9) 4 months postop. It appears that the 4 mm cuff of the pair abutment (Fig.10 >) is apical to the mesial crest (*). The distal coronal implant threads seem to be covered by bone graft (Fig.11 <). Therefore pair abutments with 5 mm or more cuff are required in cases of the uneven bone. Implants have to be placed deep. CT taken 3 months post cementation (10 months postop) shows that the implant is placed in the middle of the alveolus without apparent thread exposure. CT taken 1 year and 8 months post cementation (Fig.13) shows that the implant is placed in the middle of the alveolus without apparent thread exposure, as compared to those at #2 and 3, which are placed buccal (B).
Return to
Upper Premolar Immediate Implant,
IBS,
8,9,
14
Xin Wei, DDS, PhD, MS 1st edition 09/20/2016, last revision 12/12/2018