![]() |
![]() |
![]() |
Two Point Engagement
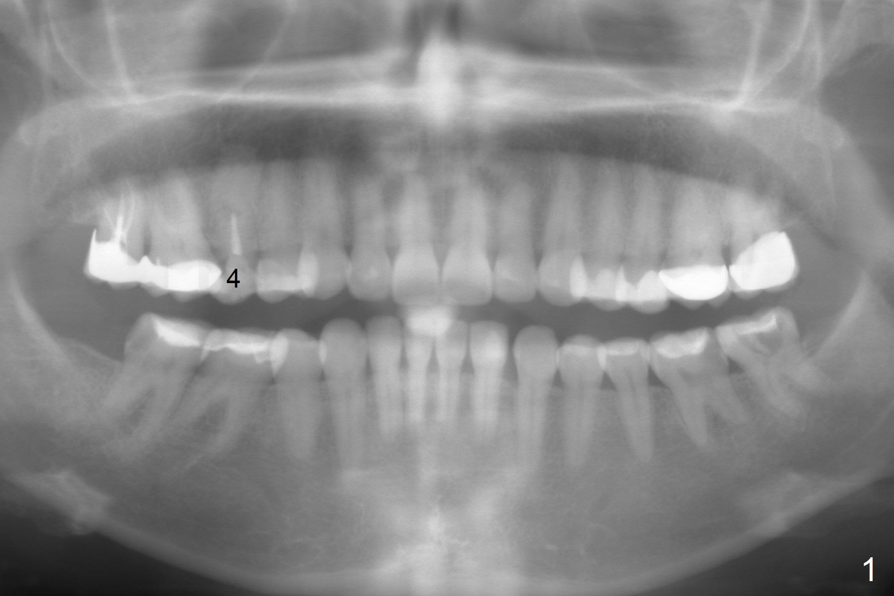
A 41-year-old woman has multiple restorations. One of them, the tooth #4, has palatally subgingival fracture. There is sufficient bone height (Fig.2,3). The apex seems to have ben resected with periapical radiopaque lesion (Fig.3 black *, possible synthetic or bovine bone). To get two point engagement into the native bone (red *), the longest bone-level implant will be placed.
Return to
Upper Premolar Immediate Implant,
IBS,
No Antibiotic
Xin Wei, DDS, PhD, MS 1st edition 08/23/2017, last revision 01/19/2018