![]() |
![]() |
![]() |
![]() |
Vertical Root Fracture Post RCT and Apicoectomy
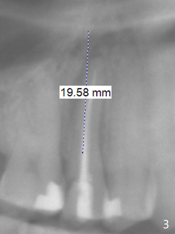
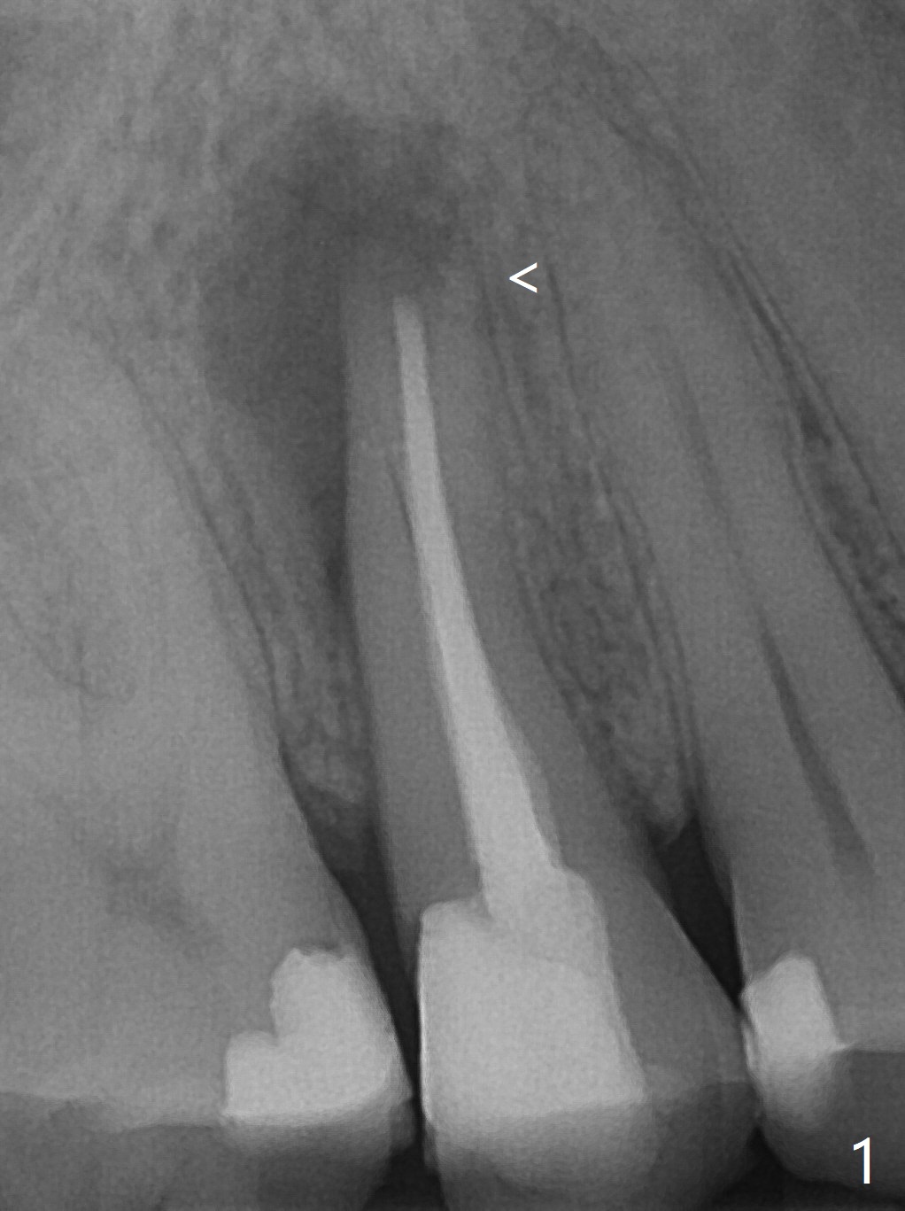
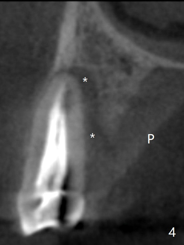
Nine months post apicoectomy of the tooth #4 of a 40-year-old man (Fig.1 <), the root has vertical fracture (Fig.2). It appears that the patient is a bruxer. Place an implant as long as 18 mm (bone level, Fig.3). Start osteotomy in the middle of socket, since there is bone resorption both buccally (apicoectomy) and palately (Fig.4 *). The implant should occupy the meisodistal space for primary stability. Measure root dimension post extraction to determine the implant diameter. Use a 3.8 mm dummy implant.
Return to
Upper Premolar Immediate Implant,
IBS,
No Antibiotic
Xin Wei, DDS, PhD, MS 1st edition 09/23/2017, last revision 12/03/2018