![]() |
![]() |
![]() |
|
![]() |
![]() |
![]() |
|
Sinus Septum M
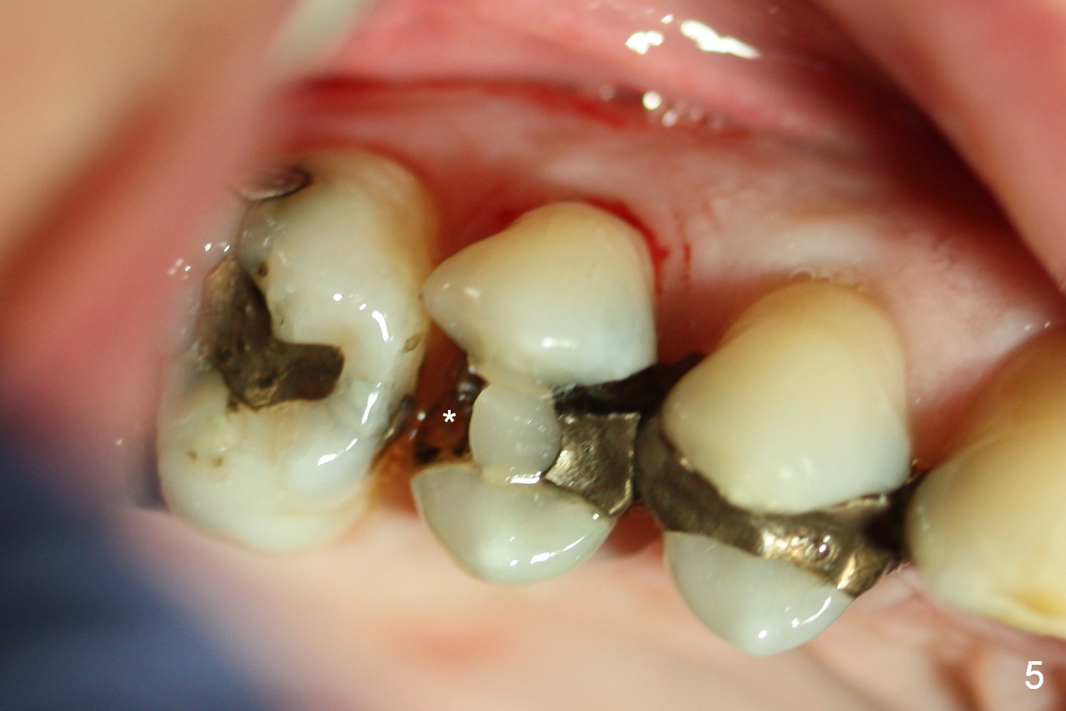
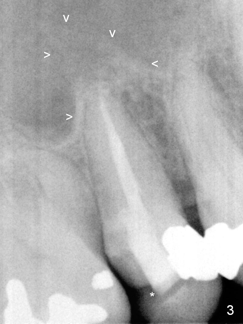
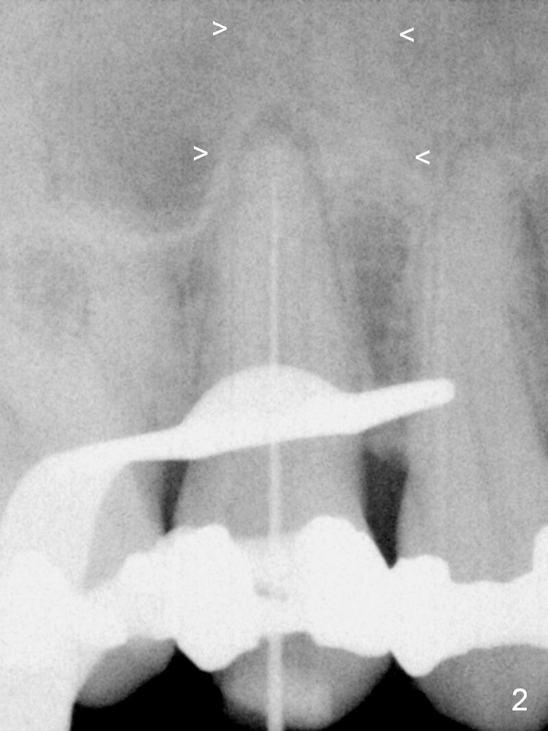
A 55-year-old man had 2nd caries with pulpitis at the tooth #4 a year ago (Fig.1), requiring RCT (Fig.2). The tooth fractured biting on a piece of nut shell inside a moon cake recently (Fig.3 *, 5, 6). There is a sinus septum apical to the apex of the affected tooth (Fig.1-3 arrowheads). After extraction and Metronidazole socket treatment, an immediate implant can be inserted into the septum for primary stability (Fig.4). The diameter of the implant will be decided by the measurement of the mesiodistal width of the root. Magic Expander (ME 3.0 mm) will be used to initiate osteotomy by going deep 4 mm, followed by ME 3.3 mm). If there is resistance to the 1st ME, use 1.6 mm drill. Allograft will be pushed upward with ME 3.3 mm prior to implant placement. Or try to insert (without tapping) ME 4.8 mm as deep as possible, hopefully with stability, and take PA. Place a larger implant for primary stability (4.5x11 mm).
Return to
Upper
Premolar Immediate Implant, IBS,
#18
Xin Wei, DDS, PhD, MS 1st edition 09/23/2016, last revision 03/20/2020