![]() |
![]() |
![]() |
![]() |
There is no sign of sinus membrane perforation before placement of a 4.5x14 mm implant (Fig.2 I); sinus lift is performed (*, with mixture of autogenous bone (from reamers), allograft and Osteogen). Arrowheads: remaining mesial and distal sockets, which will be bone grafted after provisional fabrication.
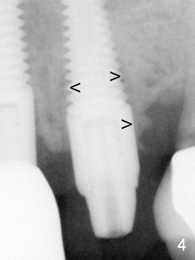
Bone density in the mesial and distal sockets increases after bone graft (Fig.4: arrowheads).
The distal threads appear not covered by the bone 2.5 months postop (Fig.11 >).
The bone density around the implant at #13 increases 2 years 6 months post cementation (Fig.13 *).
Intraop Modification of Immediate Provisional Last Next
Xin Wei, DDS, PhD, MS 1st edition 07/30/2015, last revision 05/18/2020