![]() |
![]() |
![]() |
Taking 2 additional PAs with sensor 1 is frustrating (Fig.1,2), no apices shown.
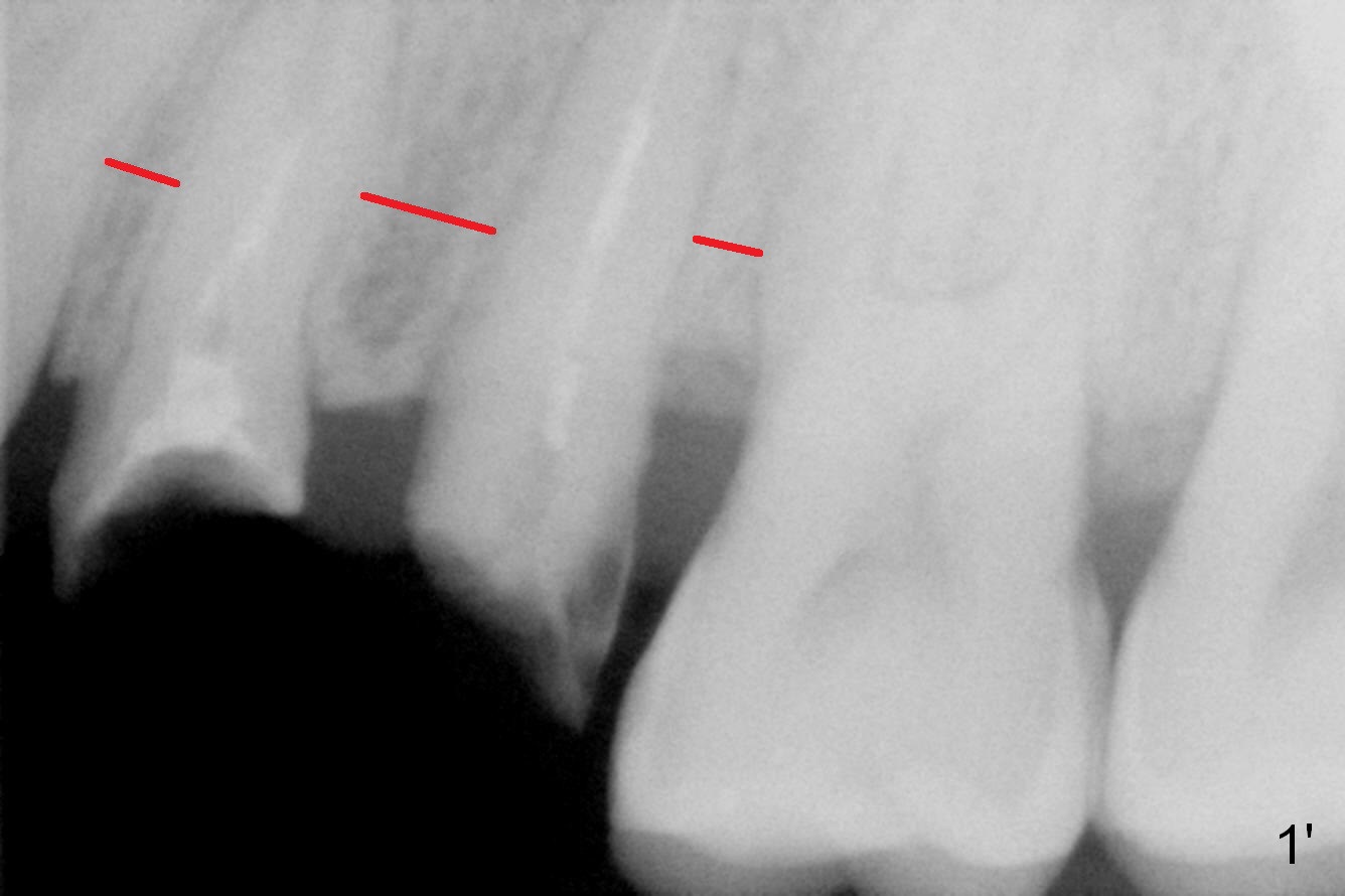
Closer look shows that the width of the interradicular bone is not equal (Fig.1': red line).
After extraction, osteotomy should not be at the center of the socket (Fig.1").
Earliest Intraop PA Next Xin Wei, DDS, PhD, MS 1st edition 08/13/2015, last revision 01/19/2019