Bone-level Immediate Implant in Upper Molar with Large Defect

The smooth part of a tissue-level implant is equivalent to the cuff of cemented abutment associated with bone-level implant.  The former is fixed, 3 mm, while the latter is variable, from 1-6 mm, offering flexibility in implant placement (in depth).

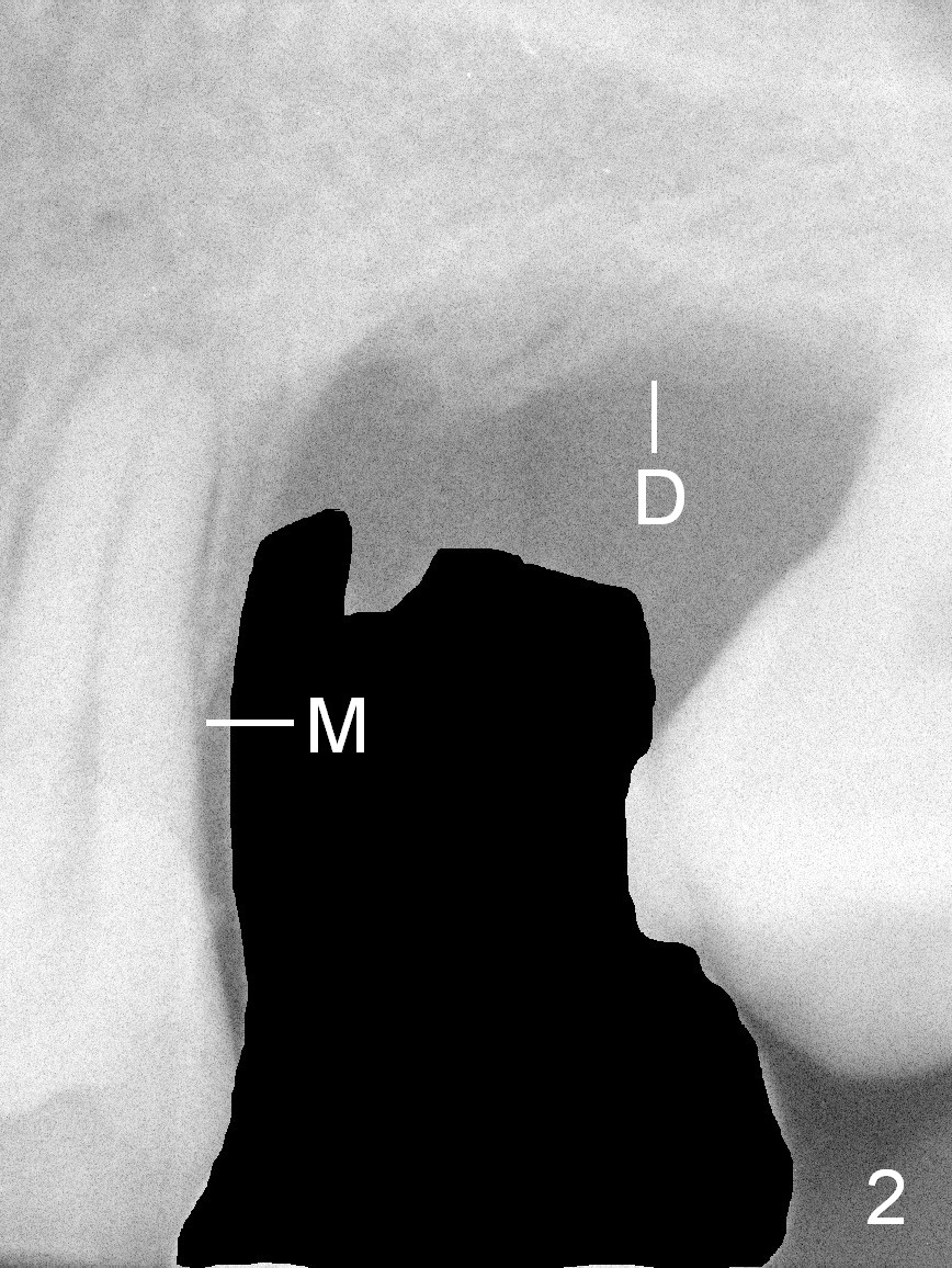
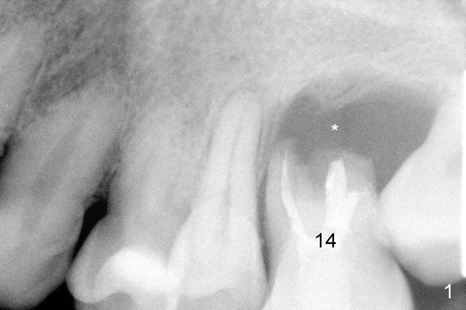
 A 42-year-old man (XK) has perio-endo disease at the tooth #14.  After root canal therapy (Fig.1), the tooth remains nonsalvageable.  The bone loss is extensive (Fig.1 *) and uneven (more bone mesially than distally) after extraction (2% Xylocaine/1:50,000 Epinephrine).  A bone-level implant is placed in an ideal depth (Fig.3 UF; Fig.4 SM), irrelevant of the gingival margin, first.   Place bone graft distally (Fig.3 red circles) before choosing a proper abutment.  For example, there is plenty of combination to choose cuff and abutment lengths for a SM or UF implant (Fig.4). 

Return to Upper Molar Immediate Implant

Xin Wei, DDS, PhD, MS 1st edition 01/08/2016, last revision 01/12/2016