![]() |
![]() |
![]() |
![]() |
Sinus Lift or Not
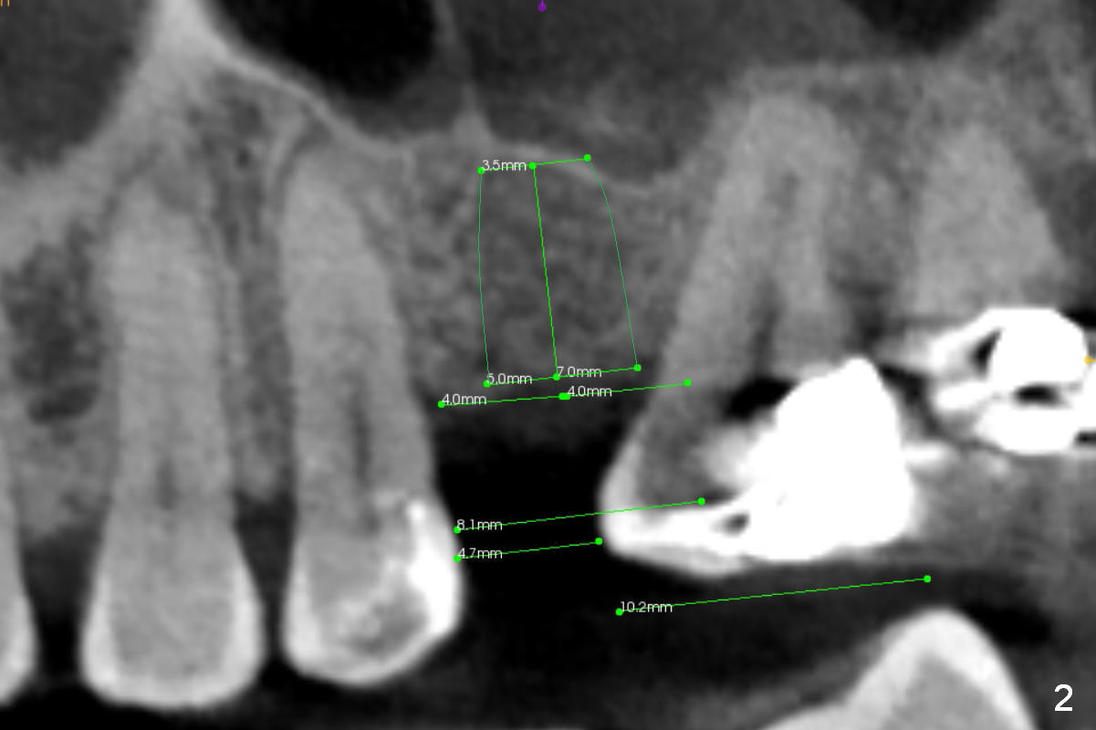
CT shows a residual root in the left maxillary sinus. In order not to re-infect the sinus, an implant at the site of #14 should not enter the sinus (Fig.2) or enters the sinus with bone graft (Fig.3,4 red circles) and more importantly PRF membrane (yellow).
Traditional segmental orthodontic treatment (open coil spring) is to be conducted to increase the mesiodistal width from 4.7 mm to 8 mm to place a 5 mm implant (Fig.2,3). Once the implant osteointegrates, it will be used an anchorage to further distalize the tooth #15.
Return to
Upper
Molar Immediate Implant, IBS
Xin Wei, DDS, PhD, MS 1st edition 10/27/2016, last revision 10/27/2016