![]() |
![]() |
![]() |
|
![]() |
![]() |
![]() |
|
![]() |
![]() |
![]() |
|
![]() |
![]() |
![]() |
|
![]() |
![]() |
![]() |
|
![]() |
![]() |
![]() |
|
![]() |
![]() |
![]() |
![]() |
![]() |
![]() |
||
Severe Bone Loss
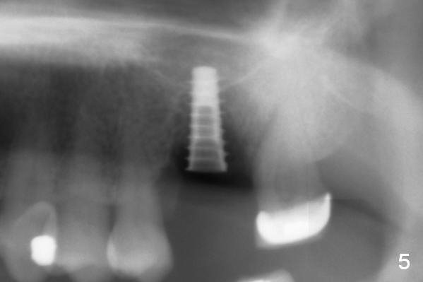
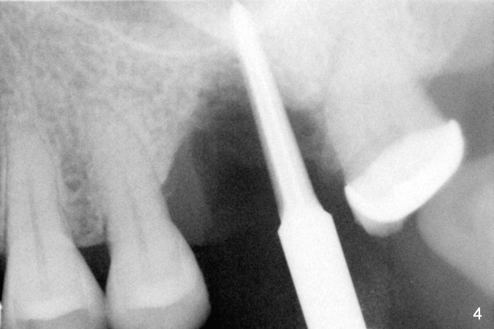
There is abundant subgingival calculus on the surfaces of the extracted tooth at #14 (Fig.1: P: palatal; MB: mesiobuccal), corresponding to the large empty socket (Fig.2 without septal bone, the buccal plate being low). Osteotomy is established palatally with Magic Expander (ME) 3.0 mm for ~ 3 mm deep (Fig.3,4) with minimal stability so that it moves during X-ray taking (Fig.4). Since the bone is dense, Magic drill 4.3 mm is used after application of ME 3.8 and 4.3 mm to complete sinus lift (Fig.5 (panoramic X-ray)). A 5x11 mm implant is placed with ~ 30 Ncm, followed by insertion of 6.5x4(3) mm Hexa abutment, bone graft and collagen membrane (Fig.6). The latter is kept in placed with an immediate provisional with clearance from the opposing dentition (Fig.7 *). Between the 1st and 3rd weeks postop, the buccal gingiva recedes with loss of bone graft (Fig.8 <) and implant thread exposure (Fig.9 * (A: abutment)). After inducing hemorrhage, allograft is placed (Fig.10 >), followed by collagen dressing (Fig.11 >). The wound closes by adding new acrylic (Fig.12 *). Thirteen days later, food is trapped in the buccal gap (Fig.13 ^). It appears that the provisional does not help wound healing. The provisional and abutment are removed; incorporating bone graft (Fig.14 *) and the implant are exposed. After placing collagen plug against the bone graft and implant, the wound is closed by periodontal dressing.
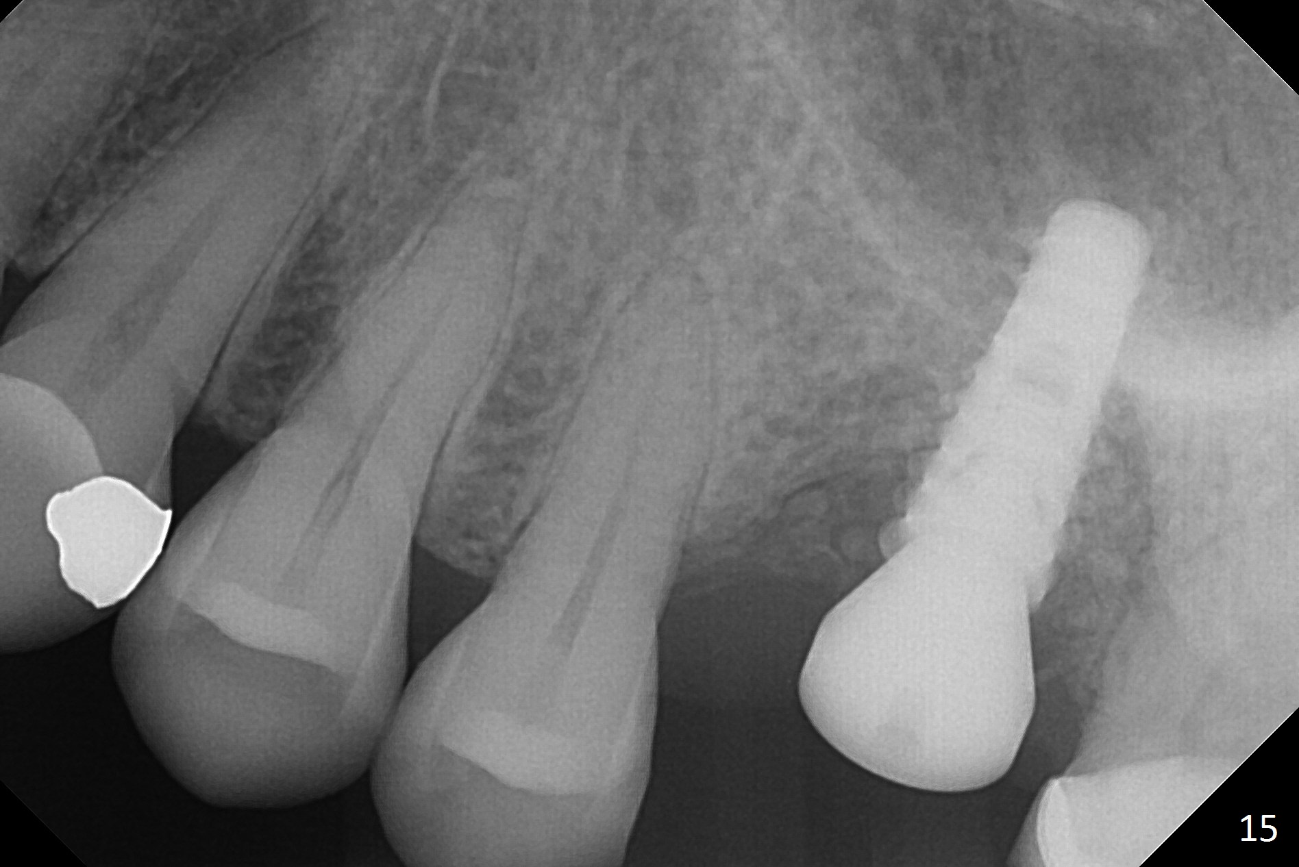
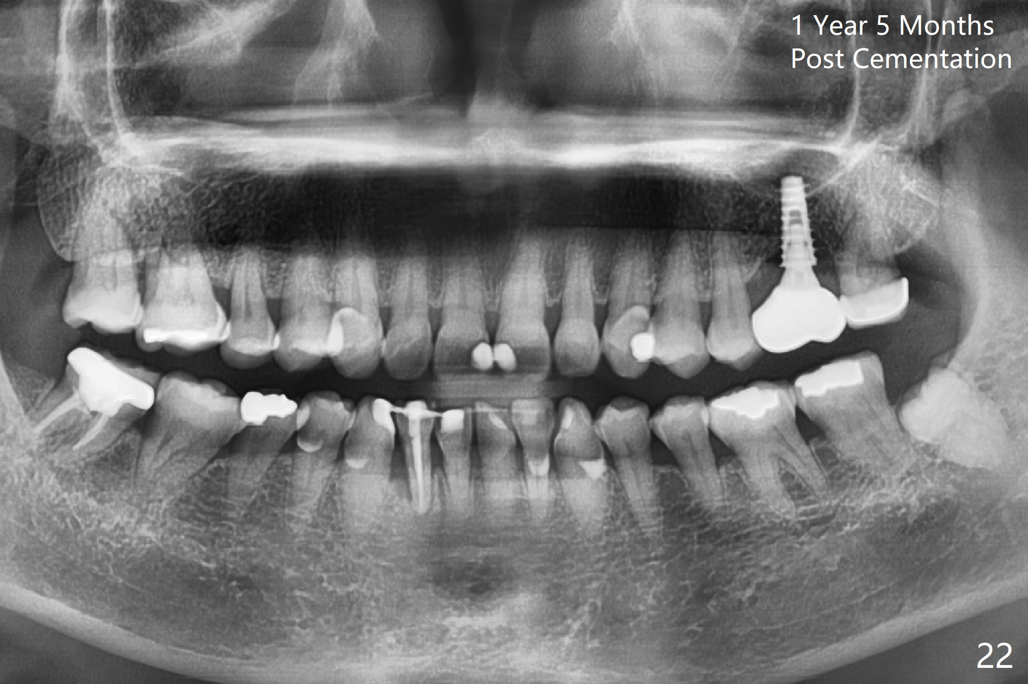
The implant is stable 8 months postop (Fig.15). When a 6x4(3) mm abutment is placed 8.5 months postop, it is distal (Fig.16). The mesiodistal width is 1-2 mm shorter than that at #3, which suggests the mesial shift of the tooth #15. A provisional is fabricated at #14 (Fig.17 P) with supra-occlusion so that there is clearance between the tooth #15 and the opposing one (Fig.18 *). With a separator placed between #14 and 15 (Fig.19), the latter is free to be distalized. Bone volume and density seem to increase 4.5 and 10.5 months post cementation (Fig.20,21, as compared to Fig.15), although the buccal plate remains as concave as shown in Fig.18. One year 5 months post cementation, the patient complains of bad smell from the implant when water pik is being used. It appears that the 1st 2-3 threads are exposed (Fig.22), although the surrounding gingiva remains uninfected. Bone graft is recommended. The site heals without bad smell 7 months post bone graft (2 years 4 months post cementation, Fig.23). The 1st implant thread is found exposed buccal on uncover (regraft?). A small healing abutment is placed because the implant is placed distal (Fig.24). An angled abutment should be tried and #15 crown will be redone. Impression will be taken when the gingiva heals around the provisional crowns.
Return to
Upper
Molar Immediate Implant, Prevent
Molar Periimplantitis (Protocols,
Table),
IBS,
Trajectory II
Xin Wei, DDS, PhD, MS 1st edition 09/29/2016, last revision 11/16/2019