Hard Bone

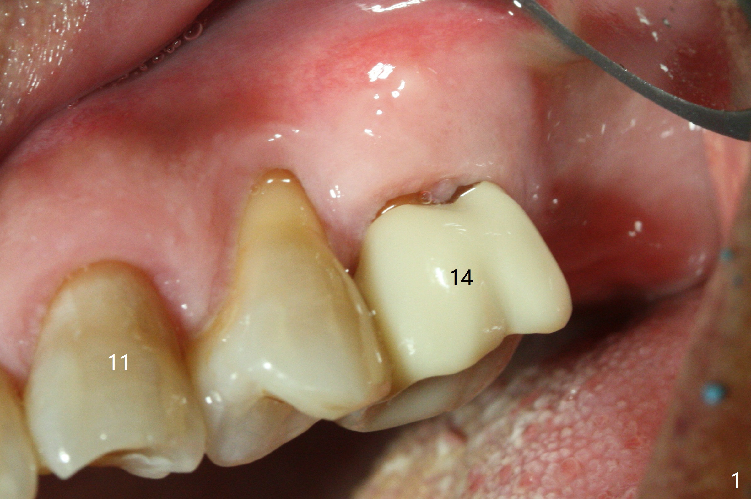
After extraction of the tooth #14 (Fig.1) and removal of granulation tissue associated with a distal fistula, a 1.6 mm drill is used to initiate osteotomy in the septum for 9 mm, followed by insertion of a 7 mm long parallel pin (Fig.2).  The length of the subsequential osteotomy is 11 mm until 4.8 mm in diameter (overprep as will be shown below).  The bone is hard so that sinus lift fails with 4.8 mm Magic Expander.  Since a 5x9 mm dummy implant is placed with stability, a definitive implant with the same dimension is chosen with >50 Ncm (Fig.3,4).  Prior to and after abutment placement, Vera graft is placed (*).  The provisional perforates with loose abutment 3.5 months postop.  A 6x4 mm healing abutment is placed.  Osteointegration occurs 4 months postop (Fig.5,6).

Return to Upper Molar Immediate Implant, Prevent Molar Periimplantitis (Protocols, Table), IBS, #31 15/18 Xin Wei, DDS, PhD, MS 1st edition 09/26/2017, last revision 05/27/2019