![]() |
![]() |
![]() |
|
![]() |
![]() |
![]() |
|
![]() |
![]() |
![]() |
|
![]() |
![]() |
![]() |
![]() |
![]() |
|||
Flap Transposition
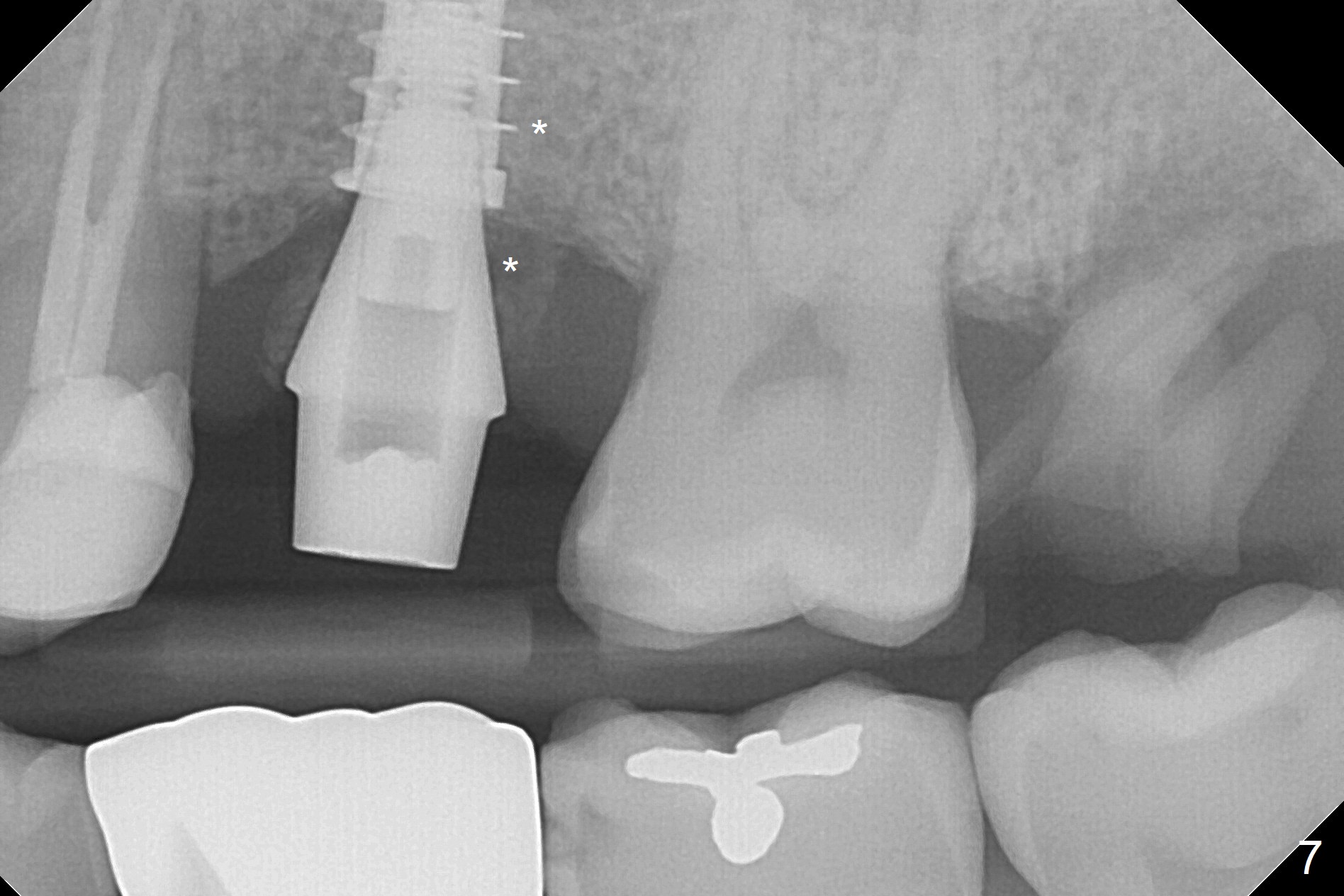
After extraction of the distobuccal residual root of the tooth #14 (Fig.1 arrow), the gingiva around the socket does not look like the keratinized one (Fig.2 *). An osteotomy through the distobuccal socket would seem too buccal for immediate implant. The palatal gingiva feels too tough to be stretched. An incision is made (Fig.3 dashed line); with elevation, the thick flap is transferred buccally (curved arrow). An osteotomy is initiated in the palatal bone with 1.5 mm drill, followed by Magic Expanders until 4.3 mm for 11 mm (Fig.4,5). Following Magic Drill 3.8x13 mm, the sinus membrane is found to be perforated. The latter is repaired with Osteogen plug. A 4.5x9 mm IBS implant is placed with 50 Ncm (Fig.6). Osteogen plug and allograft (Fig.7 *) are inserted into the remaining distobuccal socket (reduced after bone expansion). When a 5.5x4(4) mm abutment is placed, the transferred flap appears to be adapted to the distobuccal defect (Fig.8 *). Later one suture is placed for fixation. After provisional insertion, periodontal dressing is applied. Nine days postop, the periodontal dressing dislodges. When the loose provisional is removed for recementation, the flap seem to have healed (Fig.9 *). The gingiva heals around the abutment 5 months postop (Fig.9); the distal socket appears to heal while the bone graft remains at the crest (Fig.11,12). When #30 develops buccal abscess, the patient masticates on the left, leading to loss of composite at #13 (Fig.14); in fact the abutment at #14 is incompletely seated.
Return to
Upper
Molar Immediate Implant, Prevent
Molar Periimplantitis (Protocols,
Table)
Xin Wei, DDS, PhD, MS 1st edition 07/05/2017, last revision 09/25/2020