![]() |
![]() |
![]() |
![]() |
Sinus Lift and IBS Implant Fin
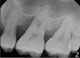
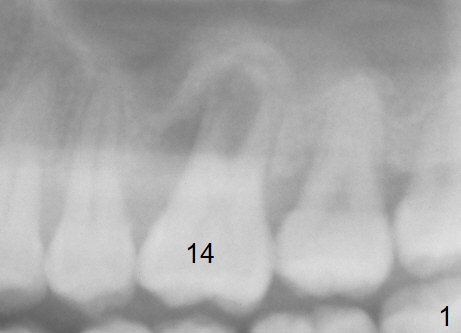
A 41-year-old man has had severe periodontitis at #14 for the last 11 years (Fig.1-3). Finally the tooth is mobile. Draw blood for PRF membrane (x4). After use of Magic Drill with 3 mm stopper, tap Magic Lifter for sinus lift. Insert 1-2 PRF membrane(s) and Vanilla graft prior to further osteotomy with UF drills until 4.5 or 5 mm. Insert tap drill for primary stability. If it fails, switch to IBS dummy implants.
Return to
Upper
Molar Immediate Implant, Prevent
Molar Periimplantitis (Protocols,
Table),
IBS,
Metronidazole,
MAGIC
FC 植入方法, Course
1
2
3
4
Xin Wei, DDS, PhD, MS 1st edition 09/01/2017, last revision 08/18/2018