![]() |
![]() |
![]() |
![]() |
No Drill Osteotomy
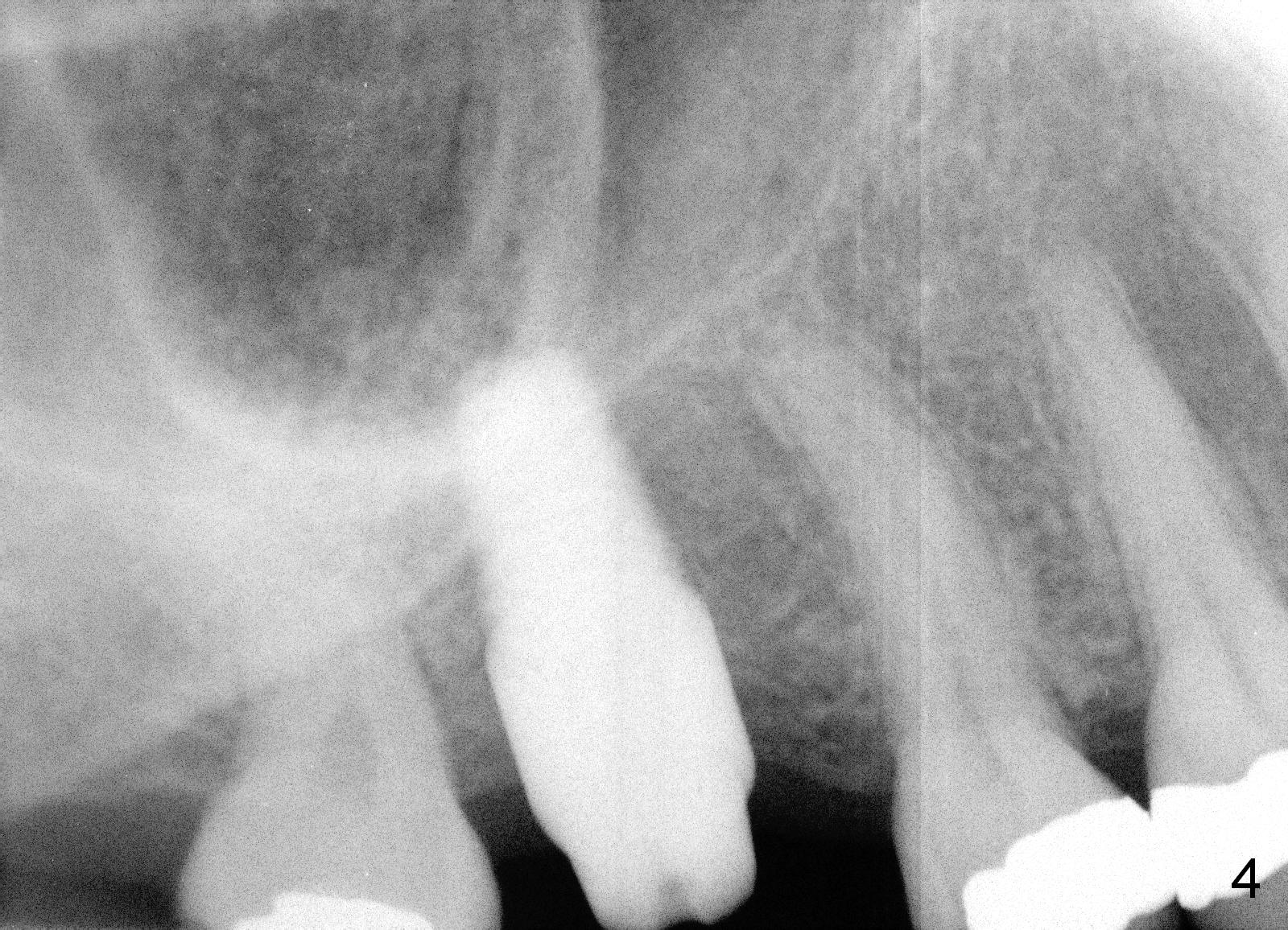
A 50-year-old lady requests implant placement at the site of #3 first. The ridge is mild to moderate atrophy. Immediately preop PA shows bone height ~ 10 mm (Fig.1 green line) and gingiva to sinus floor distance 12 mm (red line). A 10 mm incision is made over the crest. The bone is felt D3, whereas the earlier case D4. Bone expansion and condensation is still performed because it is the least invasive, no drill or suture. In brief the osteotomy is created by osteotomes, followed by taps (4.5-6 mm) (Fig.2: 4.5 mm). A 6x14 mm gingiva-level implant is placed with insertion torque of 60 Ncm (Fig.3 I). A 5x3 mm abutment (A) is placed for an immediate provisional. There is no bone resorption less than 4 months postop (Fig.4). After reprep, impression is taken for final restoration.
Return to Upper Molar Immediate Implant
Xin Wei, DDS, PhD, MS 1st edition 09/23/2015, last revision 01/17/2016