BEB with Implant

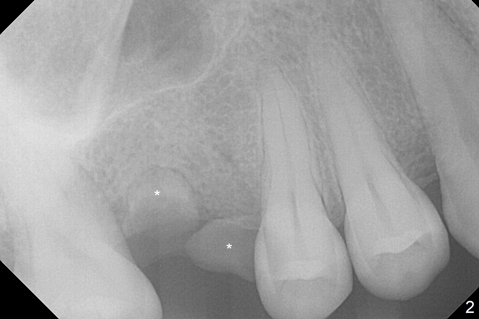
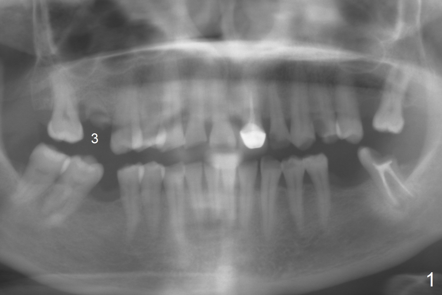
A 45-year-old woman has poor dentition due to dental phobia (Fig.1).  The tooth #3 has residual roots (Fig.2 *).  The initial depth will be 9 mm with starter drill, 2 mm drill (parallel pin, PA) and 3.2 mm Magic Drill (Fig.3).  Use 4x11 mm dummy implant for sinus lift for the last 2 mm.

Return to Upper Molar Immediate Implant, Prevent Molar Periimplantitis (Protocols, Table), IBS, No Antibiotic

Xin Wei, DDS, PhD, MS 1st edition 09/10/2017, last revision 05/24/2018