![]() |
![]() |
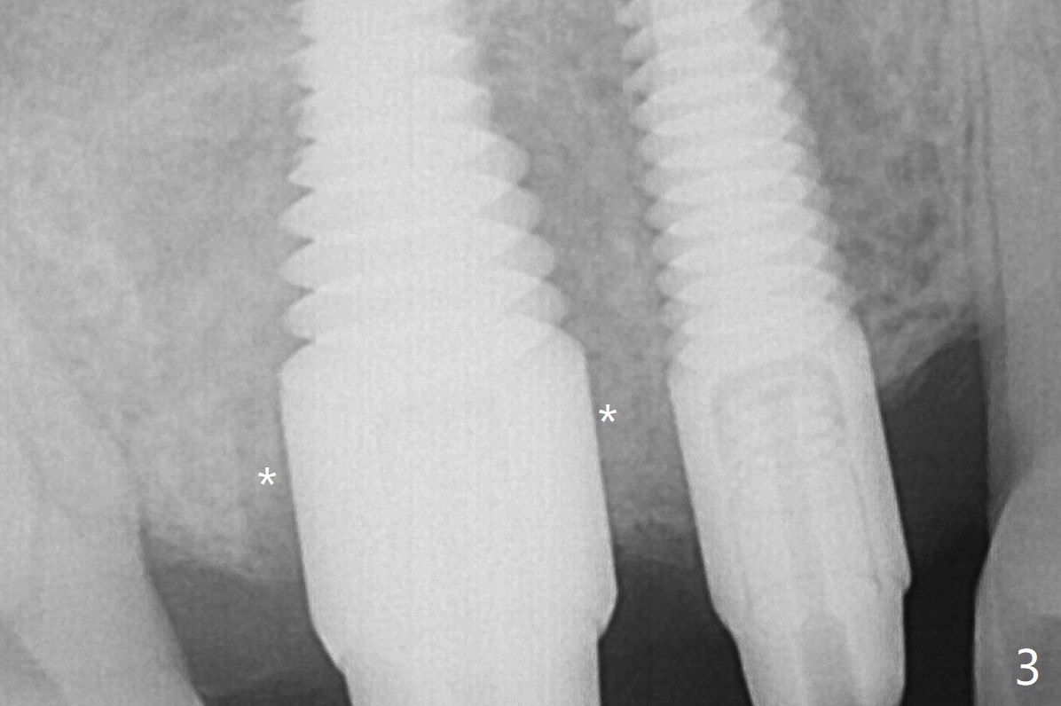
In fact the bone density at the edentulous area (#4) is high. Drills are used to finish placing a 4x17 mm tissue-level implant (Fig.3). No allograft is used for sinus lift at this site.
With proper manipulation, a 6x14 mm implant is placed at #3 with primary stability (Fig.3). The sinus membrane is perforated at #3, which is repaired with Osteogen plug without bone graft prior to implantation. Vera Graft (*) is used for closure of the socket spaces. No gap exists 7 months postop (Fig.6). The implants are placed close to each other, vulnerable to periimplantitis if oral hygiene is not maintained.
Septal Undercut Last Next
Xin Wei, DDS, PhD, MS 1st edition 09/26/2017, last revision 04/24/2018