![]() |
![]() |
![]() |
|
![]() |
![]() |
![]() |
|
Osteotomy between Two Pathological Lesions
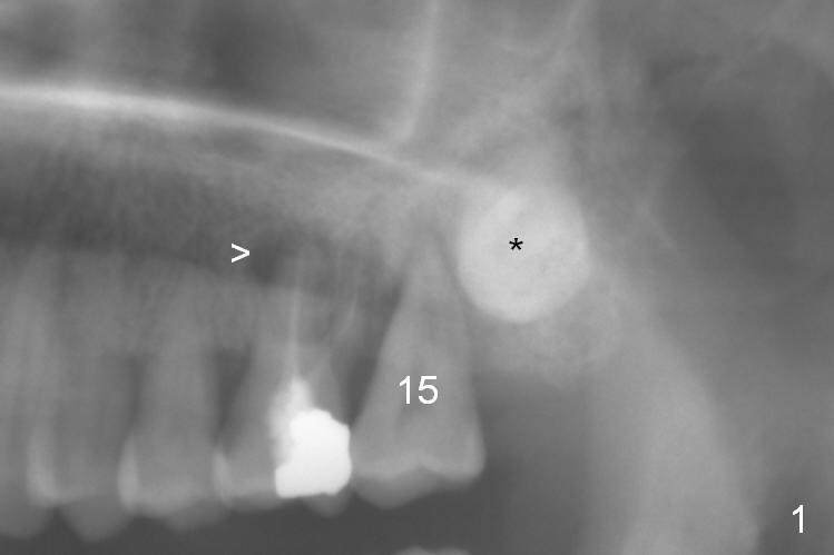
A 51-year-old lady (ZC) requests #15 extraction and immediate implant (Fig.1,2). The affected tooth is between periapical radiolucency of #14 (Fig.1 >) and the impacted 3rd molar (*). Discuss the possibility of extracting #14 and 16 at the same time. After extraction (Fig.3), osteotomy is initiated on the mesial slope of the socket (treated with Clindamycin, Fig.4). Once the cortex is penetrated, the trajectory is changed (Fig.5). After withdrawing the pilot drill, insert a parallel pin for X-ray. Adjust osteotomy position and angulation and finish placing an implant (Fig.6).
Return to Upper Molar Immediate Implant #2,3 最常见并发症 Screw Xin Wei, DDS, PhD, MS 1st edition 10/31/2015, last revision 02/23/2021