![]() |
![]() |
![]() |
Place Implant Away From Lesion
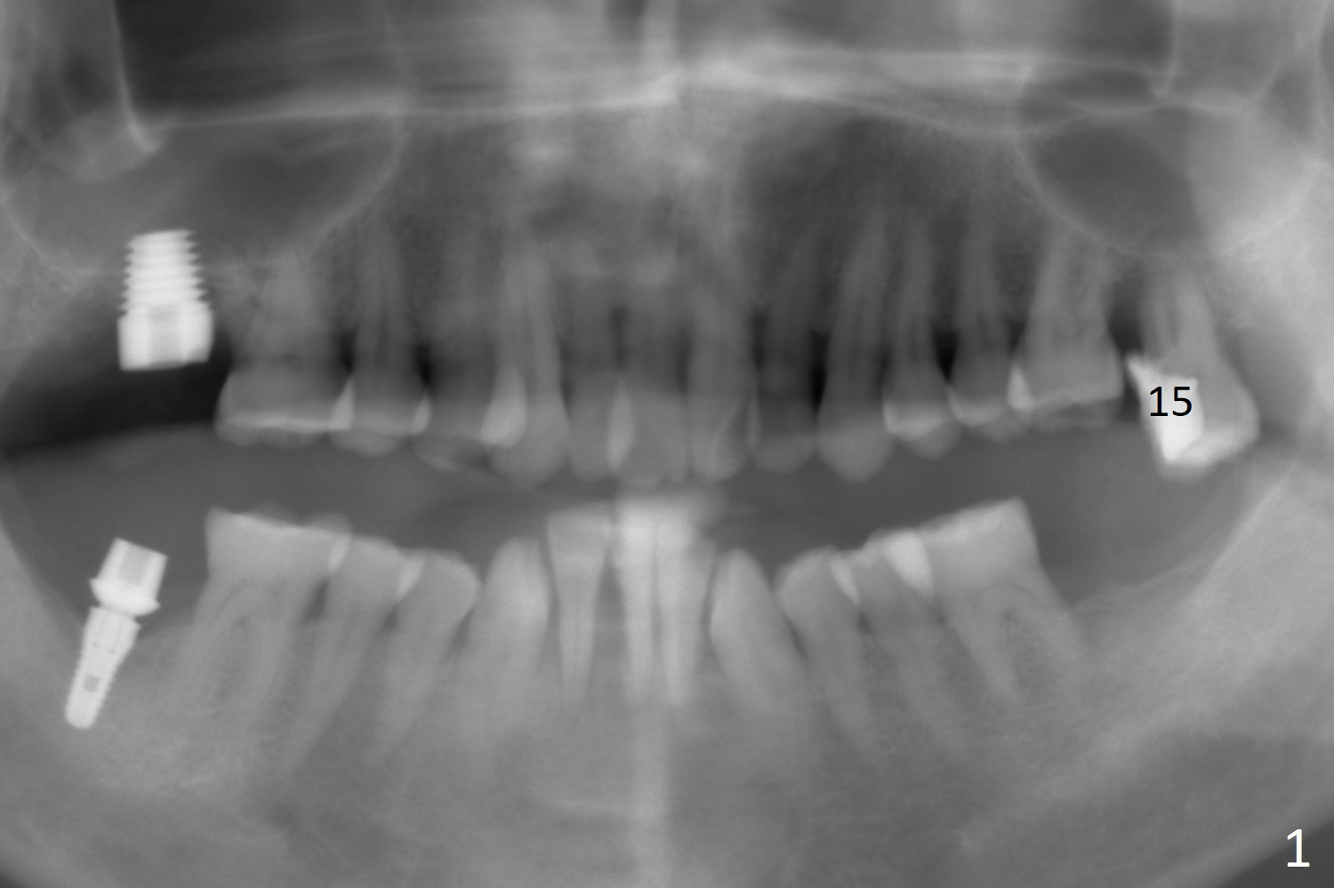
A 47-year-old man will return for #15 extraction and implant (Fig.1). Bone loss seems to be the most severe around the mesiobuccal root (Fig.2 *), from which the osteotomy should stay away (Fig.3). Take PVS impression for the sockets. Use Tatum osteotomes for sinus lift.
Return to
Upper
Molar Immediate Implant, Prevent
Molar Periimplantitis (Protocols,
Table),
IBS,
No Antibiotic,
Systemic Diseases, #2,31
Xin Wei, DDS, PhD, MS 1st edition 06/17/2017, last revision 08/14/2018