Long Implant

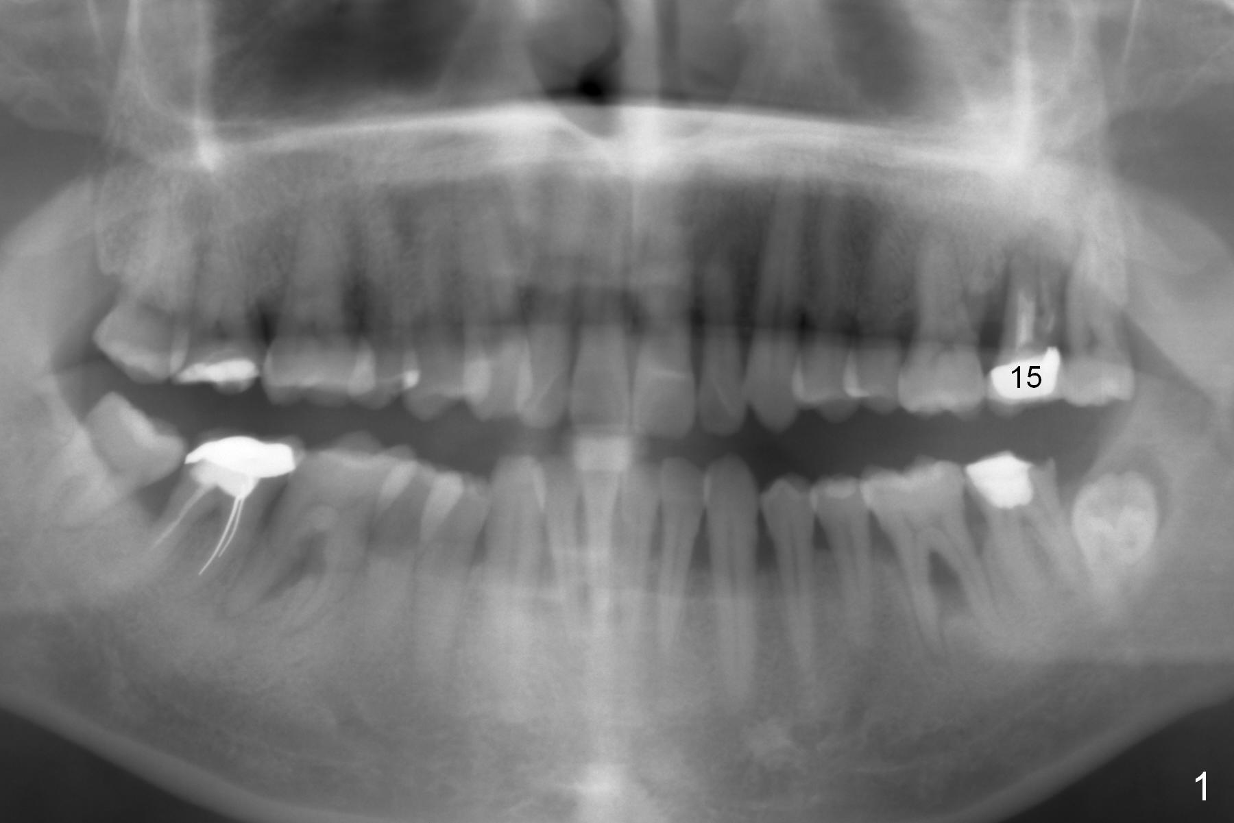
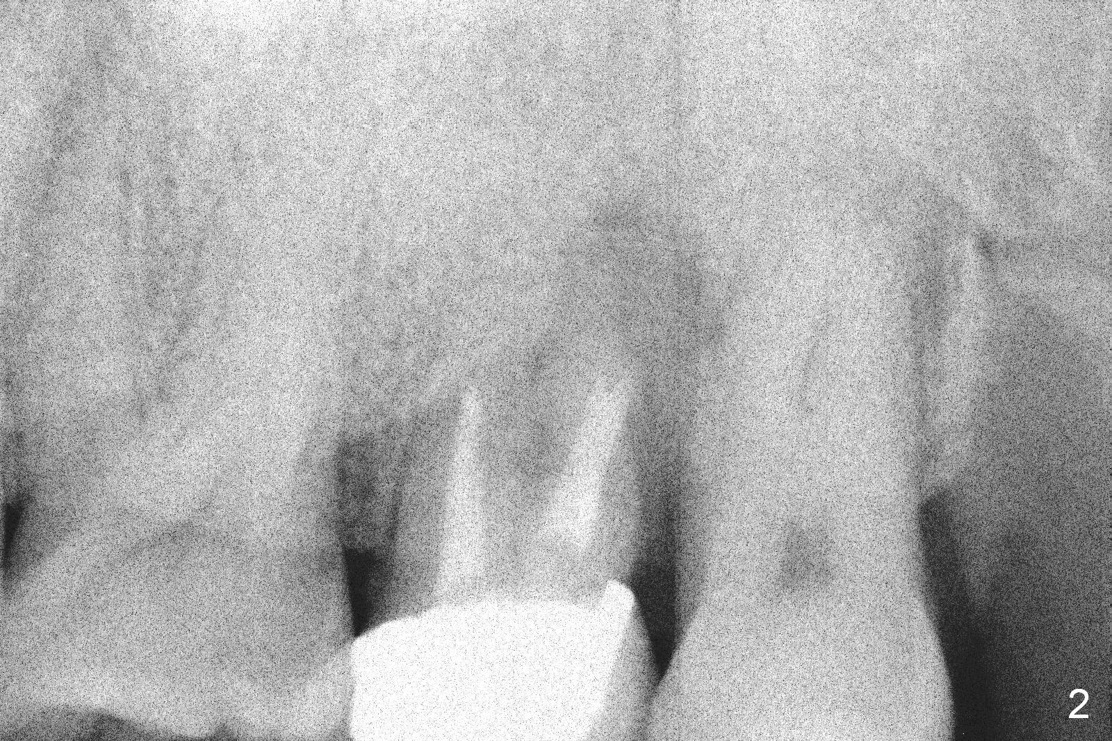
A 47-year-old man (LW) agrees to have the tooth #15 (Fig.1) extracted for implant after 4-year delay (Fig.2).  A 20 mm long implant will have at least 6 mm native bone for stabilization (Fig.3).  Bone density seems to be high.  Use Bicon drill and reamers until 3.5 mm, followed by 5x20 mm Tatum tapered tap and PA.

Also prepare UF implant system, since it is easier to clean cement in the posterior area than Tatum implant.  It is expected to place 5 or 5.5x16 or 18 mm UF implant.  Too large an implant may cause bone necrosis and bone loss.

Return to Upper Molar Immediate Implant, Prevent Molar Periimplantitis (Protocols, Table), IBS, No Antibiotic

Xin Wei, DDS, PhD, MS 1st edition 11/13/2016, last revision 11/22/2016