Posterior Maxillary Implants: As Short As Possible

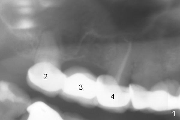
A 47-year-old woman has multiple restoration.  When #2-4 FPD ( is recemented, the 2 abutments are found nonsalvageable.  To avoid sinus complications, implants at these 3 sites will be long enough, but do not penetrate the sinus floor unless primary stability cannot be obtained (Fig.2).  Underprep is a must, particularly for immediate implants.  Since the bone density at the site of #3 is low, bone expansion is to be conducted.

Return to Upper Molar Immediate Implant, Prevent Molar Periimplantitis (Protocols, Table), IBS, Antibiotic

Xin Wei, DDS, PhD, MS 1st edition 10/08/2016, last revision 10/08/2016