Crestal Approach with Membrane Control

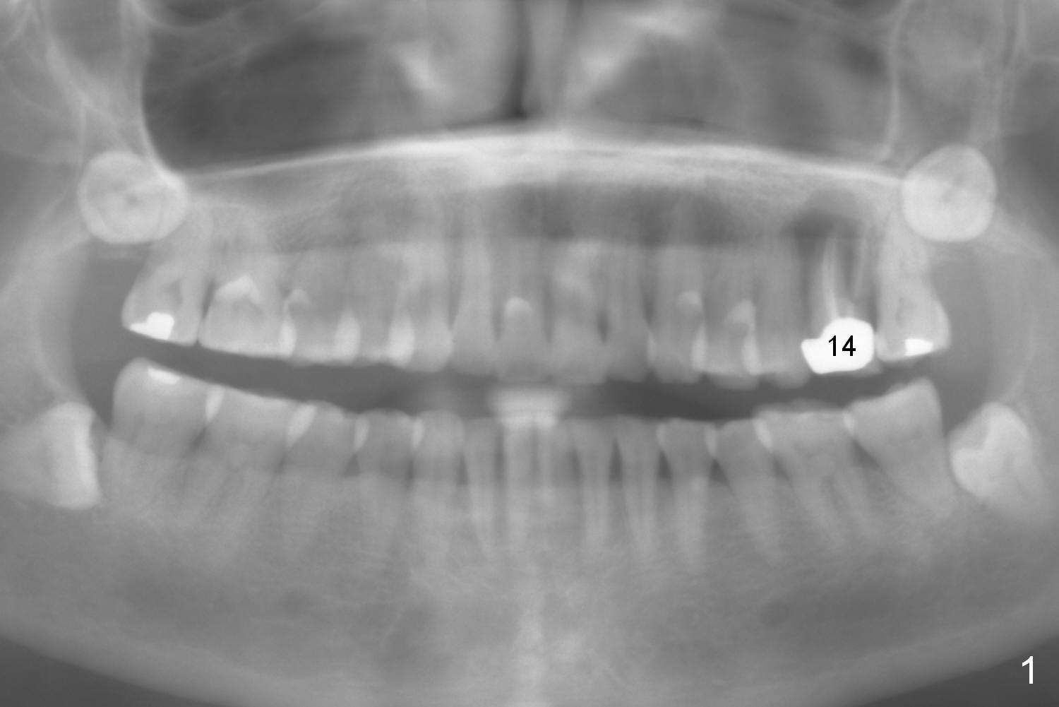
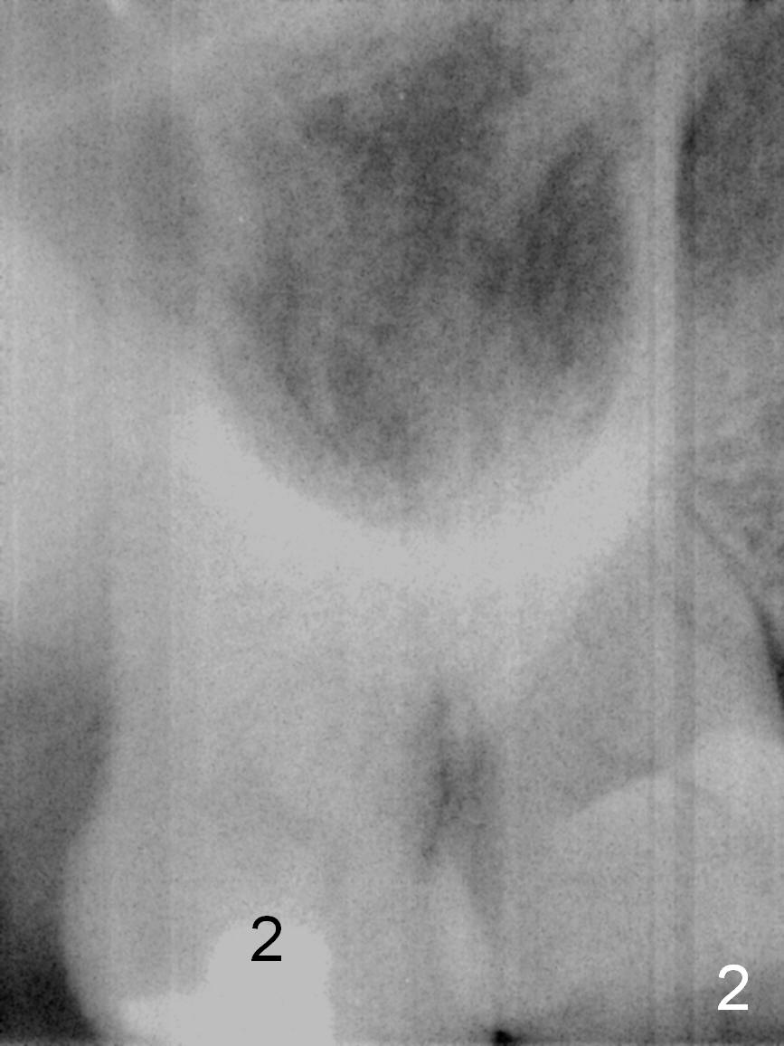
A 54-year-old woman has nocturnal pain at the tooth #2 (Fig.2), one year after extraction of the tooth #14 (Fig.1).  A mesiodistal crack line is found at root canal therapy (Fig.3 arrowheads).  The tooth appears to be nonsalvageable.  The socket is either single or 3.  Cut and soak 3 large pieces of gauze in Metronidazole.  When the tooth is extracted, we will decide whether the gauze needs to be cut further.  Depending upon the size of the septum, a relatively small (4.5x9 mm Fig.4) or large (6.5 mm) implant will be placed.  The largest pair abutment will be installed to close the socket.

Return to Upper Molar Immediate Implant, Prevent Molar Periimplantitis (Protocols, Table), IBS

Xin Wei, DDS, PhD, MS 1st edition 08/24/2016, last revision 08/25/2016