![]() |
||
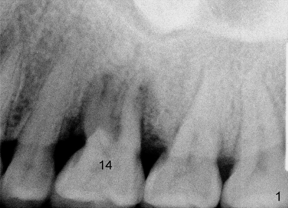
What Does This PA Show?
A 46-year-old man returned to clinic last year with chief complaint "Top left molar becomes loose suddenly". The mesiobuccal pocket was deep. He had had history of chronic periodontitis and was in perio maintenance program. PA reveals radiolucency around the 1st molar roots (Fig.1: #14). What else does it show, as related to immediate implant?
Return to Upper Molar Immediate Implant
Xin Wei, DDS, PhD, MS 1st edition 07/20/2014, last revision 01/19/2018