![]() |
![]() |
![]() |
Fig.4: The remaining mesial (M) and distal (D) sockets are lateral to a 4.5x17 mm tap (T).
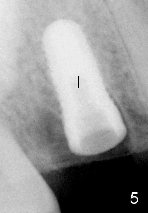
Fig.5: The mesial socket is almost obliterated when a 5.3x12 mm implant (I) is inserted.
Fig.9: The density of the distal socket increases 2.5 months postop. A: healing abutment.
Return to Large Healing Abutment Last Next
Xin Wei, DDS, PhD, MS 1st edition 04/08/2013, last revision 07/14/2018