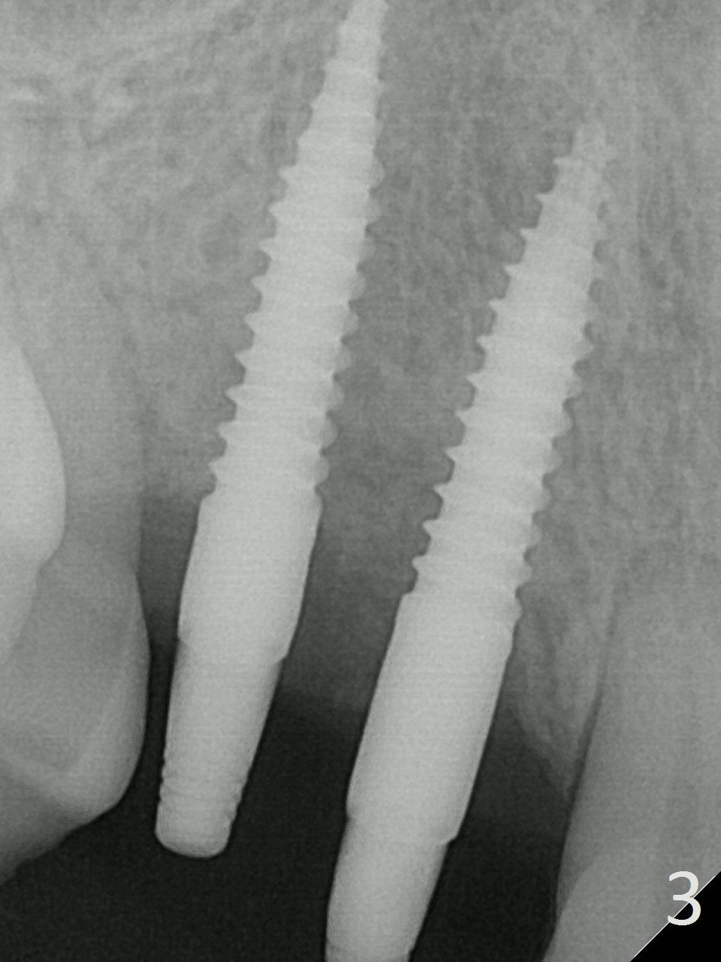
The ridge at the sites of #6 and 7 looks wide, but the bone is narrow (~ 4 mm) when the flaps are raised.  Two of 3 mm 1-piece implants (3x16(2) and 3x14(4) mm) are placed (Fig.1,2).  The other advantage of use of 1-piece implants is the narrow mesiodistal space.  In fact the gingiva is wide and thick (4 mm).  It is ideal to place implants with 4 mm cuff; unfortunately there is no 3x16(4) mm implant available at the site of #6.  After adjustment of the abutment at #7, a splinted provisional is fabricated.

There is no bone loss 3 months postop (Fig.3, probably due to the hard bone).

1-Piece Implants

Xin Wei, DDS, PhD, MS 1st edition 04/22/2017, last revision 04/22/2017