![]() |
![]() |
![]() |
|
Root Canal Therapy (RCT) or Extraction
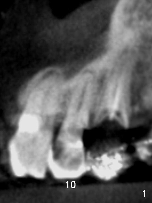
A 70-year-old man (CK) has history of several tooth fracture after RCT. When the tooth #10 develops pulpitis (Fig.1 CBCT sagittal section), he is reluctant to accept RCT. With several upper right and upper left implant placement, the affected tooth may not be so vulnerable to fracture. RCT will be tried first. If the caries proves to be too extensive (Fig.2 (coronal section) *), the tooth will be extracted with socket shield technique. Effort will be exerted for complete apex removal, followed by Metronidazole socket treatment. A 3.8x13 mm UF implant is placed; an angulated or gold coated abutment may be required (Fig.3). Bone density is 500-600 HU.
Return to Upper Incisor, Arch Immediate Implant
Xin Wei, DDS, PhD, MS 1st edition 02/27/2016, last revision 02/27/2016