![]() ![]() |
![]() |
![]() |
![]() |
![]() |
![]() |
Implant-Retained Restoration
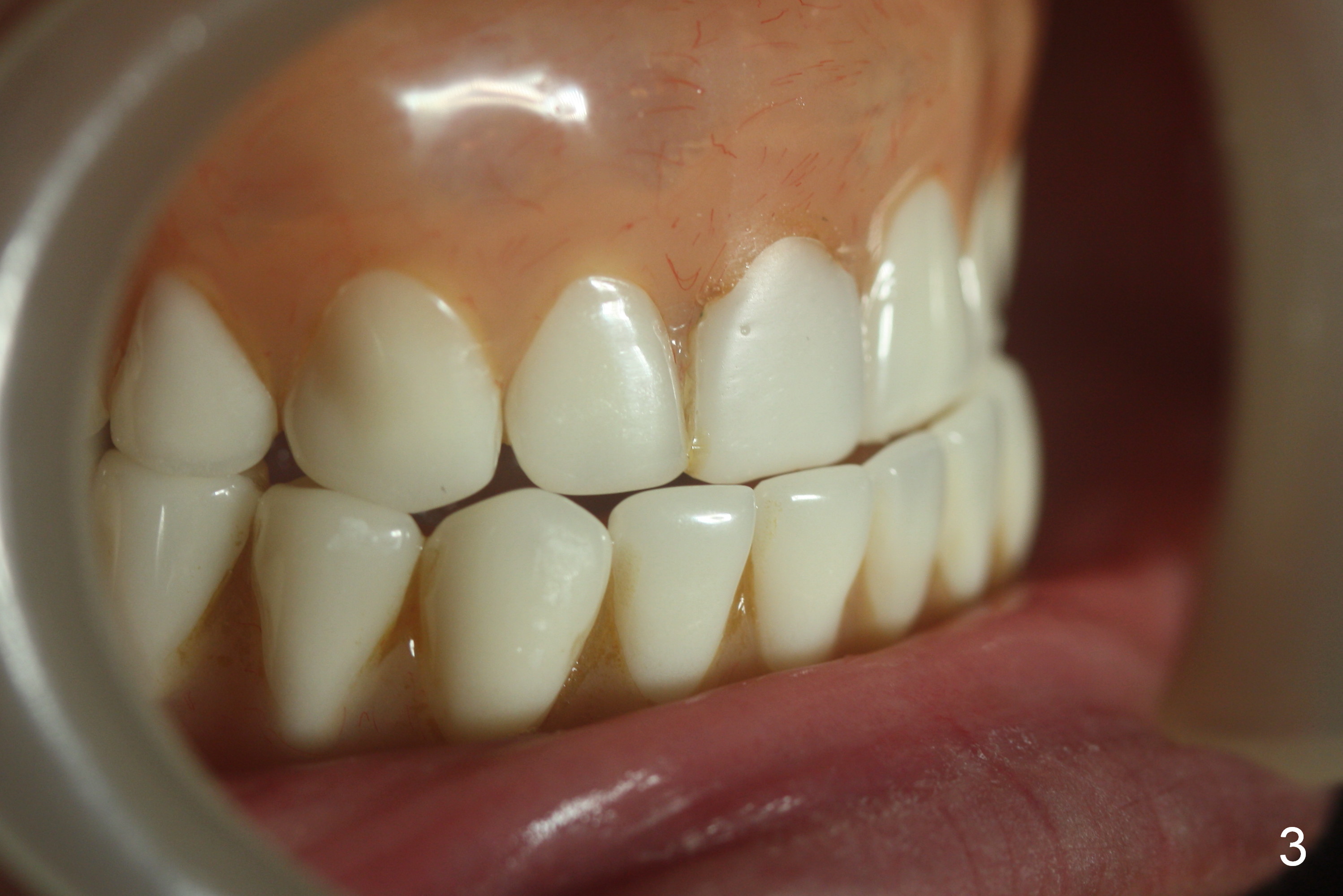
Preop photo shows that the lower lip is protrusive (Fig.1), because the lower complete denture (CD) is in cross bite (Fig.3). When the upper and lower CDs are removed, the upper and lower lips are retrusive (Fig.2). Use a modified CT scan stent to start osteotomies at the sites of the canine and the 1st premolar (Fig.4). In fact the right ones are more distal than planned. As expected, four of 3.8x8 mm implants are placed with insertion of 3.9 mm ball abutments with 2 mm cuff (Fig.5). The lingual plate at the site of #21 perforates apically when a 2.7 mm drill is being used. The defect is repaired with collagen plug and autogenous bone and Osteogen prior to implant placement. There is no postop sublingual edema or paresthesia. With trimming of the lower CD (especially the posterior border), the four implants/ball abutments appear to help establish normal overjet with immediate improvement of the facial profile (Fig.6,7 (3 days postop)). The border of the denture flange is trimmed (Fig.7 black *) to avoid contacting the tender hyperplastic tissue (white *). Further trimming may be necessary, which has been accomplished. A month later, three more implants are placed in the mandible.
Return to Lower Arch Immediate Implant
Xin Wei, DDS, PhD, MS 1st edition 06/08/2016, last revision 07/13/2016