|
|
|
![]() |
|
![]() |
![]() |
Redo Crowns and Bridges
| Fig. | Problem | Solution |
| 1 | Upper Lip Collapse | Thick, Long Pink Porcelain using Provisional as Guide |
| 2 | Too Long Upper Incisors | Shorten Incisal Edge using Provisional as Guide |
| 3 | Protruisve Incisors | Change Labial Contour |
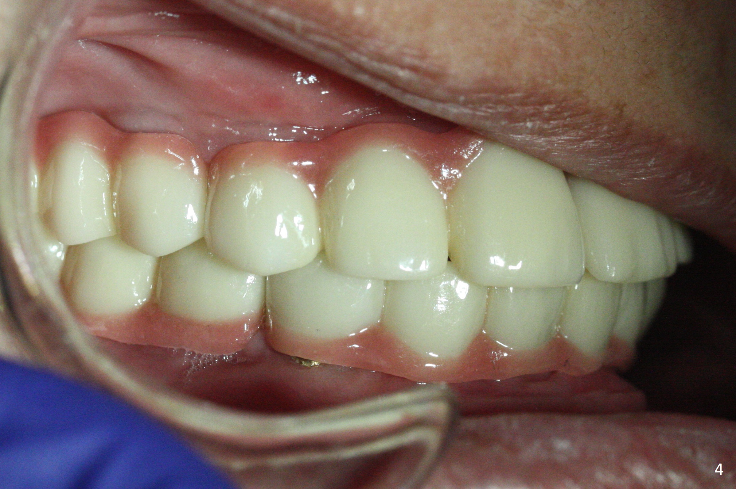
| 4 | Good Interdigitataion | |
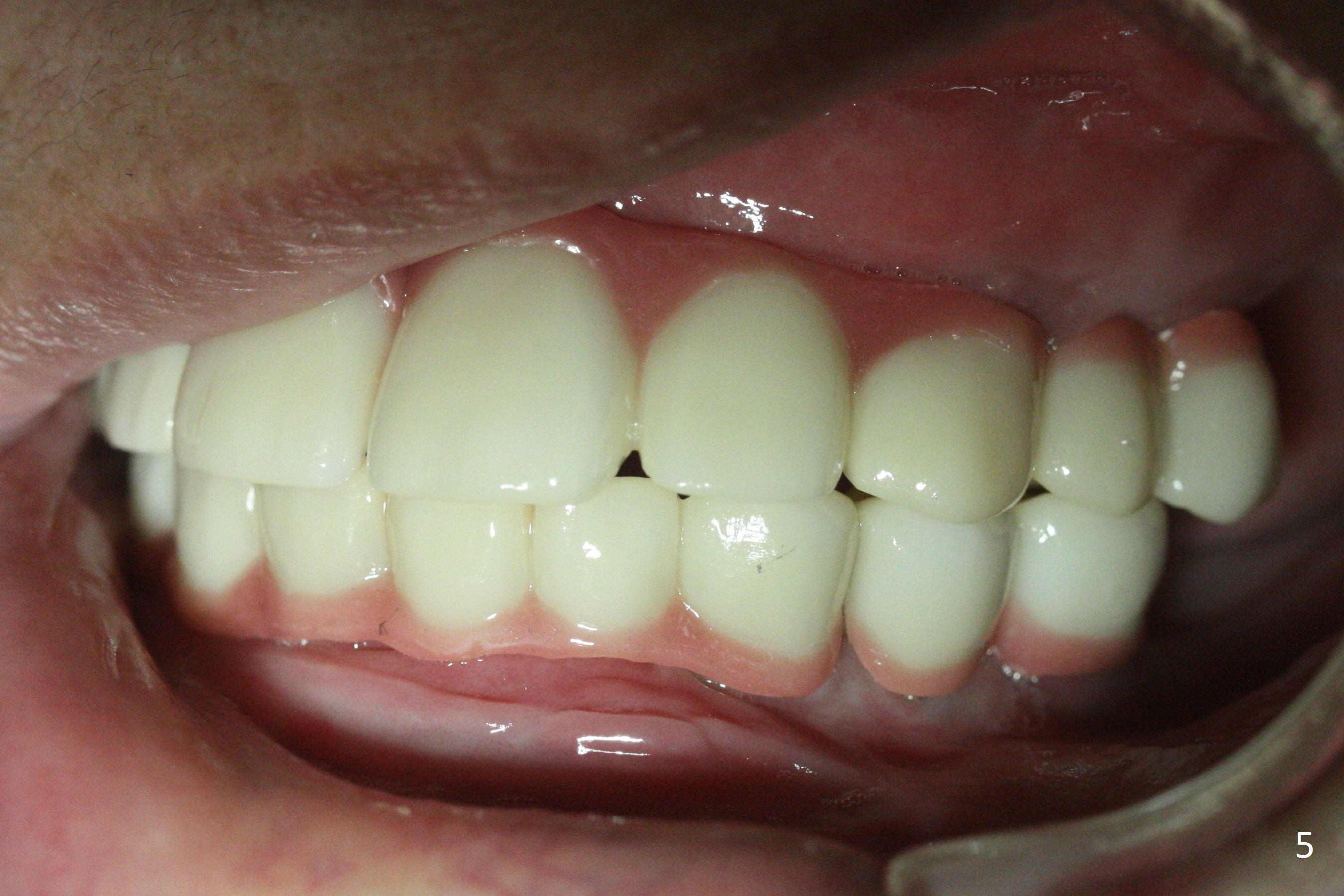
| 5 | Poor Interdigitation | Custom Abutments: DIO Submerged Narrow |
Can you also reduce upper incisor width? Thanks.
Return to
Full Mouth Implant Reconstruction
Xin Wei, DDS, PhD, MS 1st edition 04/13/2017, last revision 04/13/2017