![]() |
![]() |
![]() |
![]() |
![]() |
![]() |
How to Avoid Invading Neighboring Root?
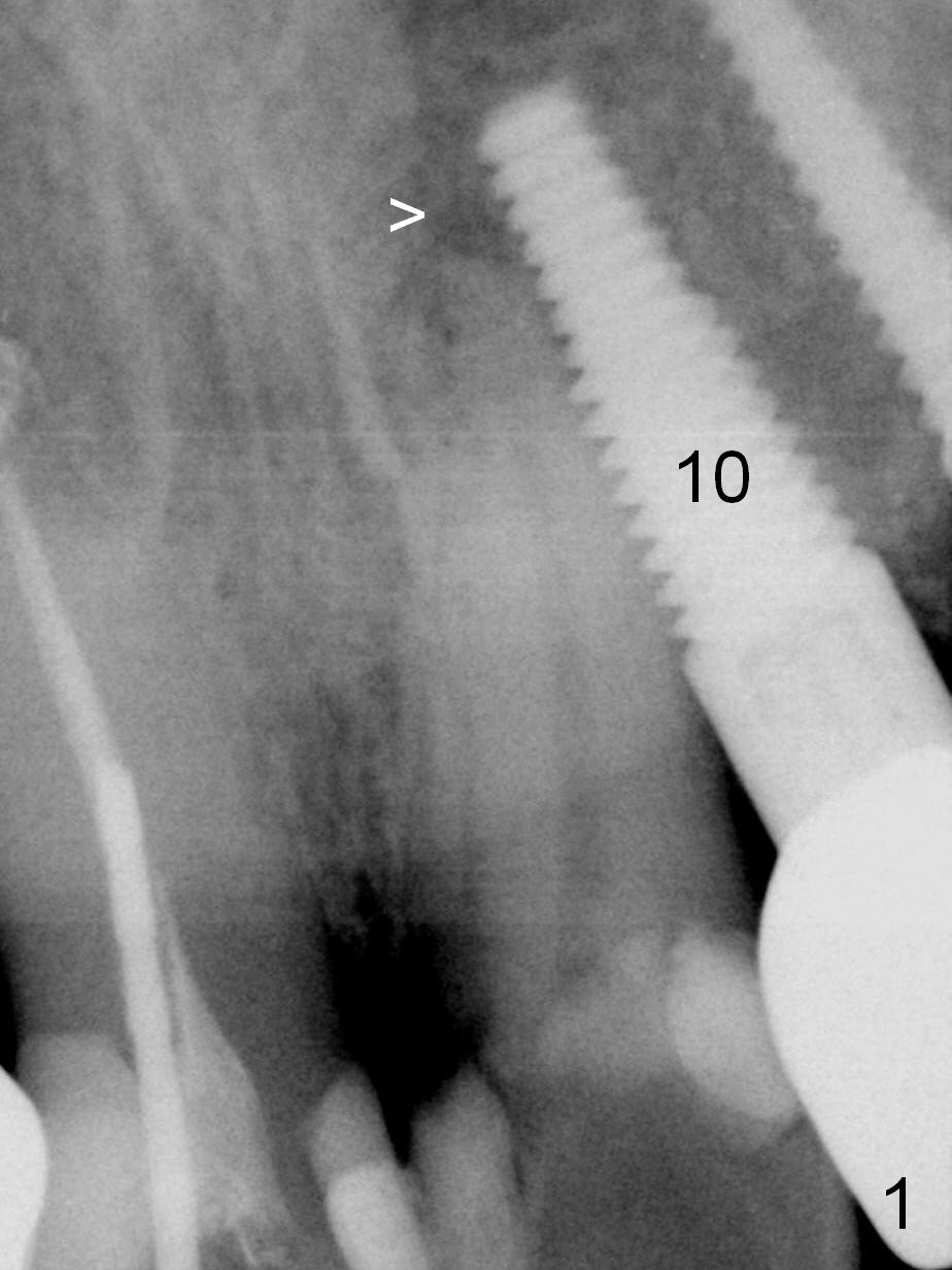
Six months post cementation of implant crown at #10, the tooth #9 becomes symptomatic with buccal apical swelling and tenderness (Fig.1). The implant and the neighboring root are close to each other. Due to extensive restoration and periapical radiolucency at #9 with percussion, root canal therapy begins with placement of calcium hydroxide. The pain reduces by the evening.
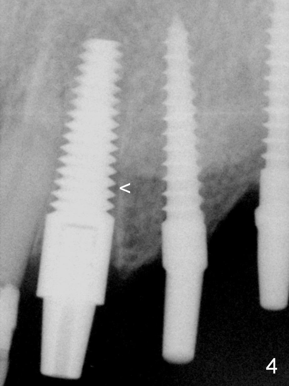
How to avoid apparent iatrogenic damage to the neighboring root? Preop PA shows approximation of these roots (Fig.2). Unfortunately the initial osteotomy is too mesial (Fig.3), which is unnoticed. When a 4.5x17 mm implant is placed, there is distal gap (Fig.4 <), while the mesial one is closed.
When the two neighboring roots are close to each other, start the osteotomy distally (Fig.5,6) particularly for the site at the distal end.
Return to
Upper Arch Immediate Implant
Xin Wei, DDS, PhD, MS 1st edition 08/04/2016, last revision 08/04/2016