![]() |
![]() |
![]() |
![]() |
![]() |
![]() |
![]() |
![]() |
![]() |
Bone Not So Soft
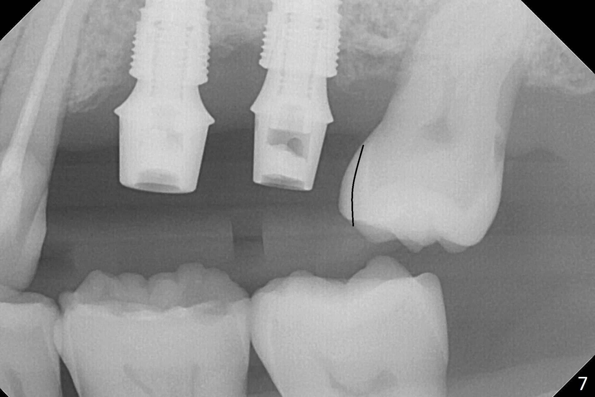
When 1.2 mm drill is used for osteotomy at #14 and 15, the bone feels to be soft (Fig.1). After change in trajectory (Fig.2), Expander 1 (Fig.3: E1, 1/1.6 mm) can be inserted at #14 and 15, while E2 (1.2/2.3 mm) cannot at full length at #14, suggesting hard bone. Osteotomy continues with drills until 4.1x14 mm, followed by insertion of E4 (2.4/3.7 mm) at #14, while osteotomy goes on until E3 (1.7/3.1 mm) at #15 (Fig.4). A 4.5x12 mm SM implant is placed with 50 Ncm (with insertion of a 5.8x4(2) mm abutment as a guide for #15 osteotomy, Fig.5). The apical portion of the osteotomy at #15 (Fig.5 red line) is finished with drills, leading to placement of a 4.5x12 mm implant (>50 Ncm) and 4.8x4(2) mm abutment (Fig.6). With bone density is more than 200 units, bone expansion appears to be not indicated. The patient returns for #13-15 crown prep 4.5 months postop (Fig.7). Abutments change to 5.8x5(3) and 5.8x4(3) mm at #14 and 15, respectively with mesial reduction of the tooth #16 (curved line) before impression. Minimal bone loss is observed 1 year 5 month post cementation (Fig.8,9), thanks to pre-existing wide bone.
Return to
Upper Arch Immediate Implant,
IBS,
29,
2
Xin Wei, DDS, PhD, MS 1st edition 07/29/2017, last revision 06/12/2019