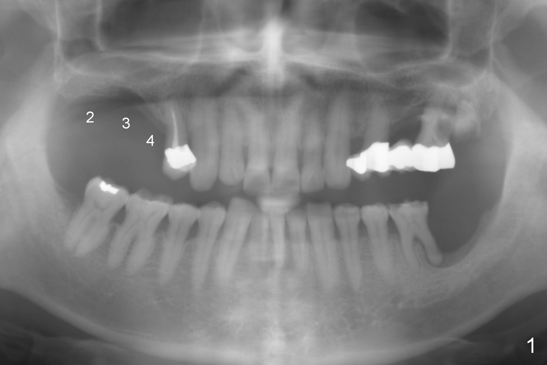
Fig.1: Preop panoramic X-ray.

Posterior Cross Bite   Next  14/15   Screw

Xin Wei, DDS, PhD, MS 1st edition 01/24/2016, last revision 02/23/2021