![]() |
![]() ![]() |
||
![]() |
![]() |
![]() |
|
![]() |
![]() |
||
Depth Control
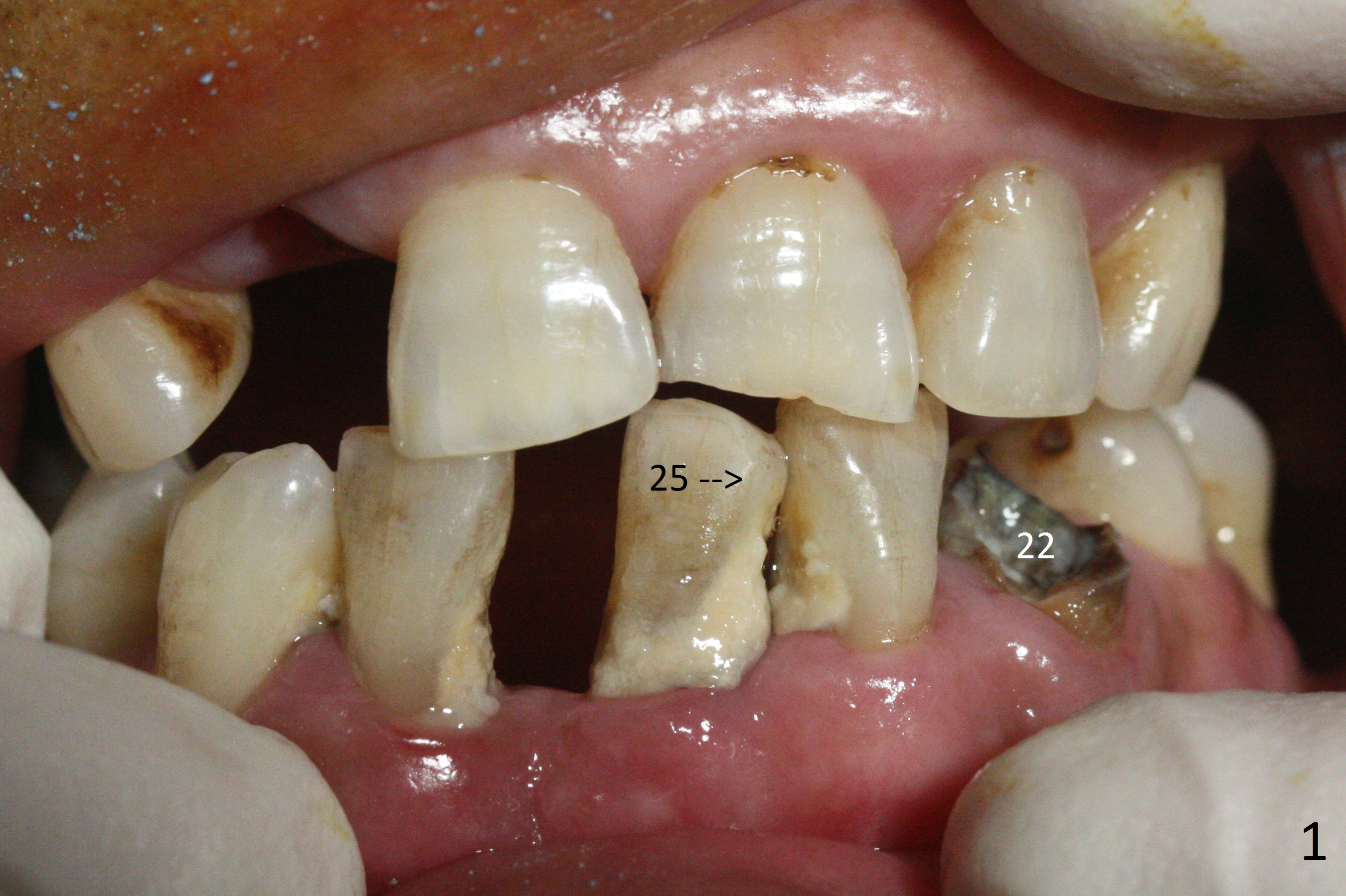
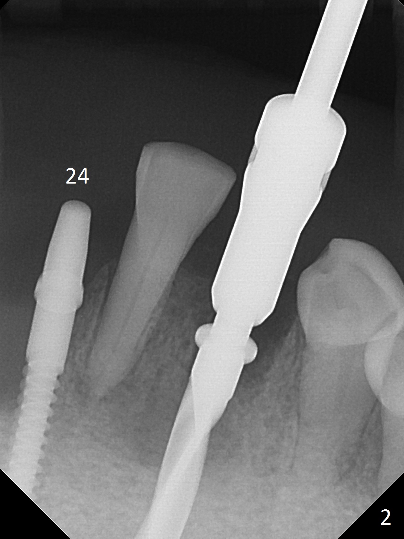
Before surgery, the patient reports that the tooth #25 has inclined to the position of #24 since the latter was extracted (Fig.1). After extraction of the tooth #25, there seems to be more bone vertically at the site of #24 than that of #25. Therefore the osteotomy is initiated at #24. The edentulous space is 9 mm mesiodistally, whereas the incisor width is 6 mm. The first pilot drill is fractured (1.2 mm). The latter is retrieved with incision. With better visibility, the initial osteotomy is found buccal. When a 3x14(2) mm dummy 1-piece implant is being placed partially, the buccal plate seems to be thin. A 2.5x14(4) mm 1-piece implant is placed instead with stability (Fig.2).
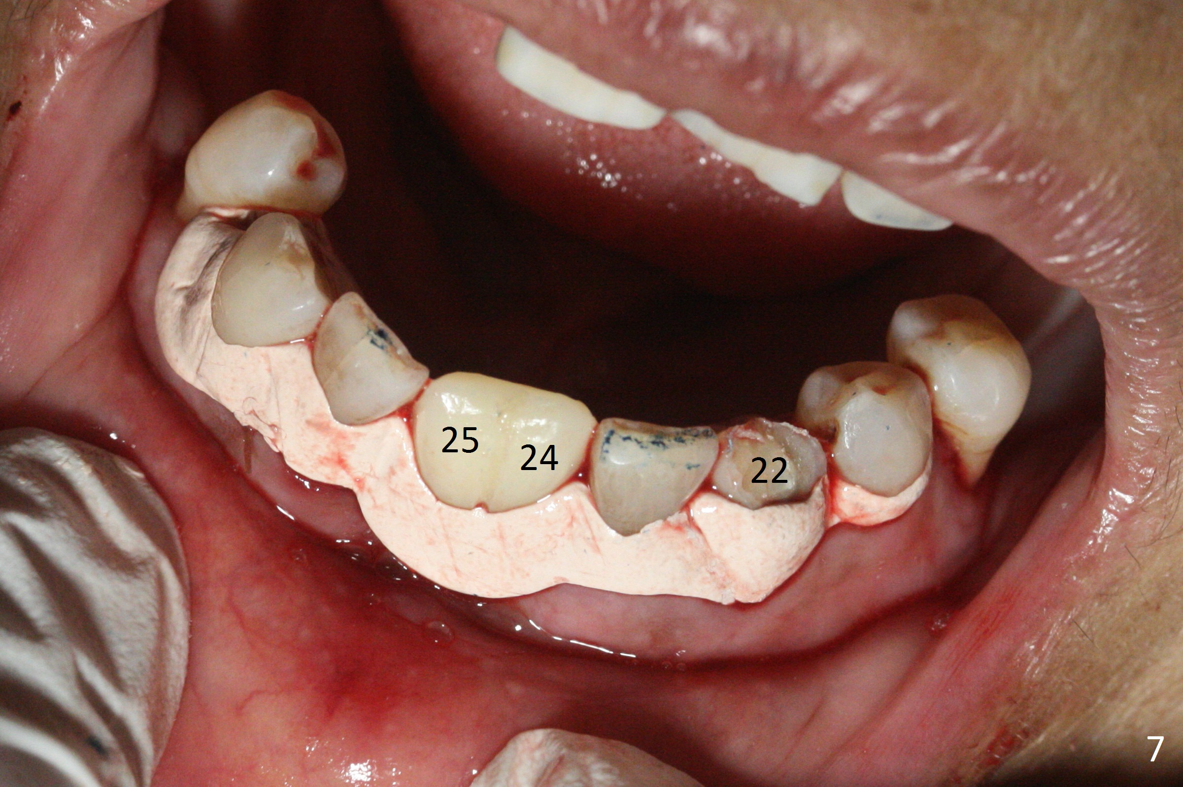
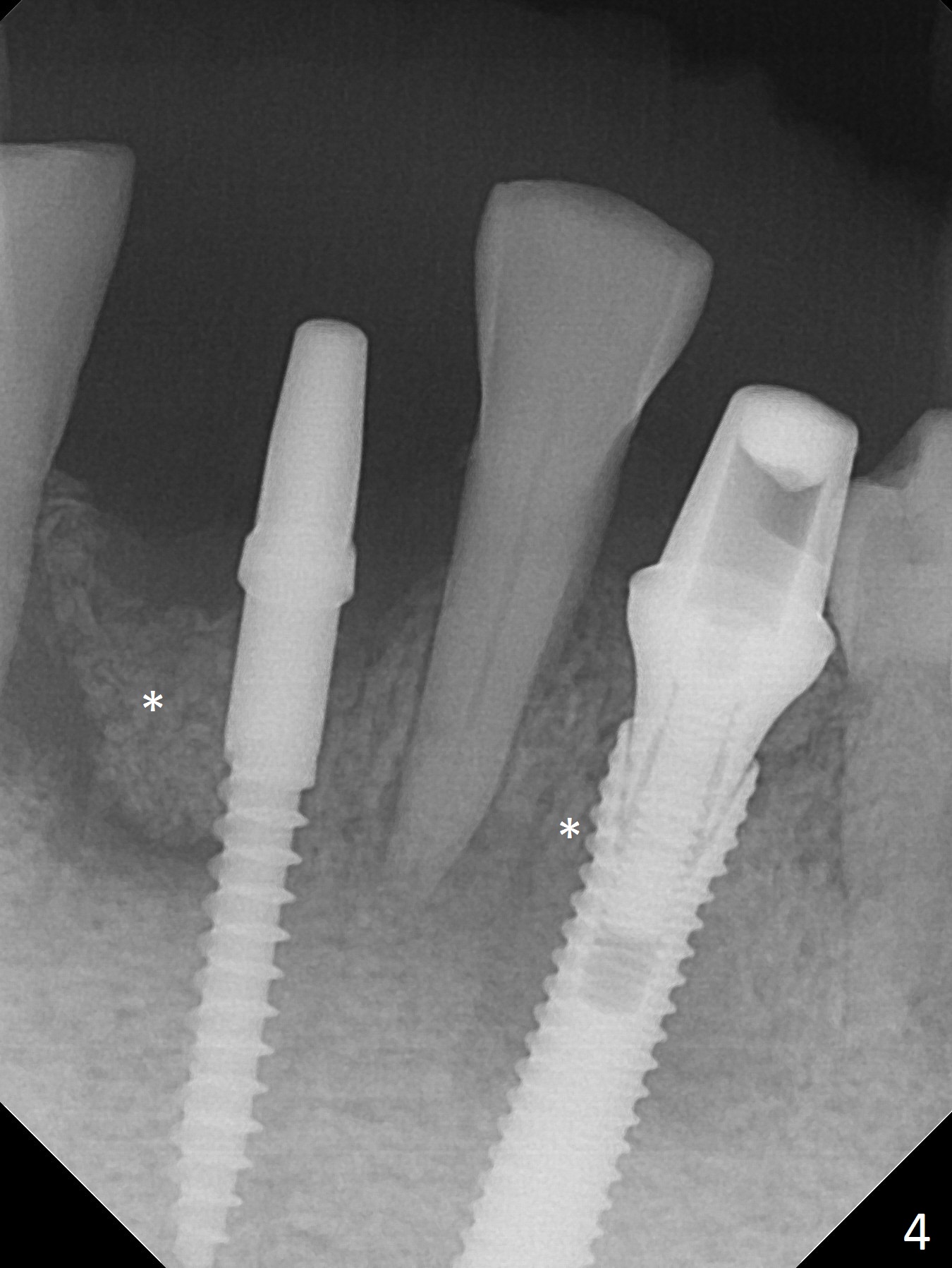
The depth of the osteotomy at #22 is 2-3 mm more than the expected implant length (Fig.2 with 2.7 mm drill in place). The implant at #22 (3.8x18 mm with insertion torque more than 50 Ncm) has clearance from the Incisive Canal and Mental Loop (Fig.3 red dashed line). Allograft with Osteogen is placed around the implants (Fig.4 *) in addition to Osteogen plug (cut in a thin layer) placed against the buccal wall of the socket at #22 (potential leakage). After suturing (Fig.5) and provisional cementation (Fig.6), periodontal dressing is applied (Fig.7). The implants seem to be ready for impression 4 months postop (Fig.8).
Return to
Multiple Immediate Implant,
IBS
Xin Wei, DDS, PhD, MS 1st edition 05/09/2017, last revision 09/20/2017