![]() |
![]() |
![]() |
Thick Gingiva
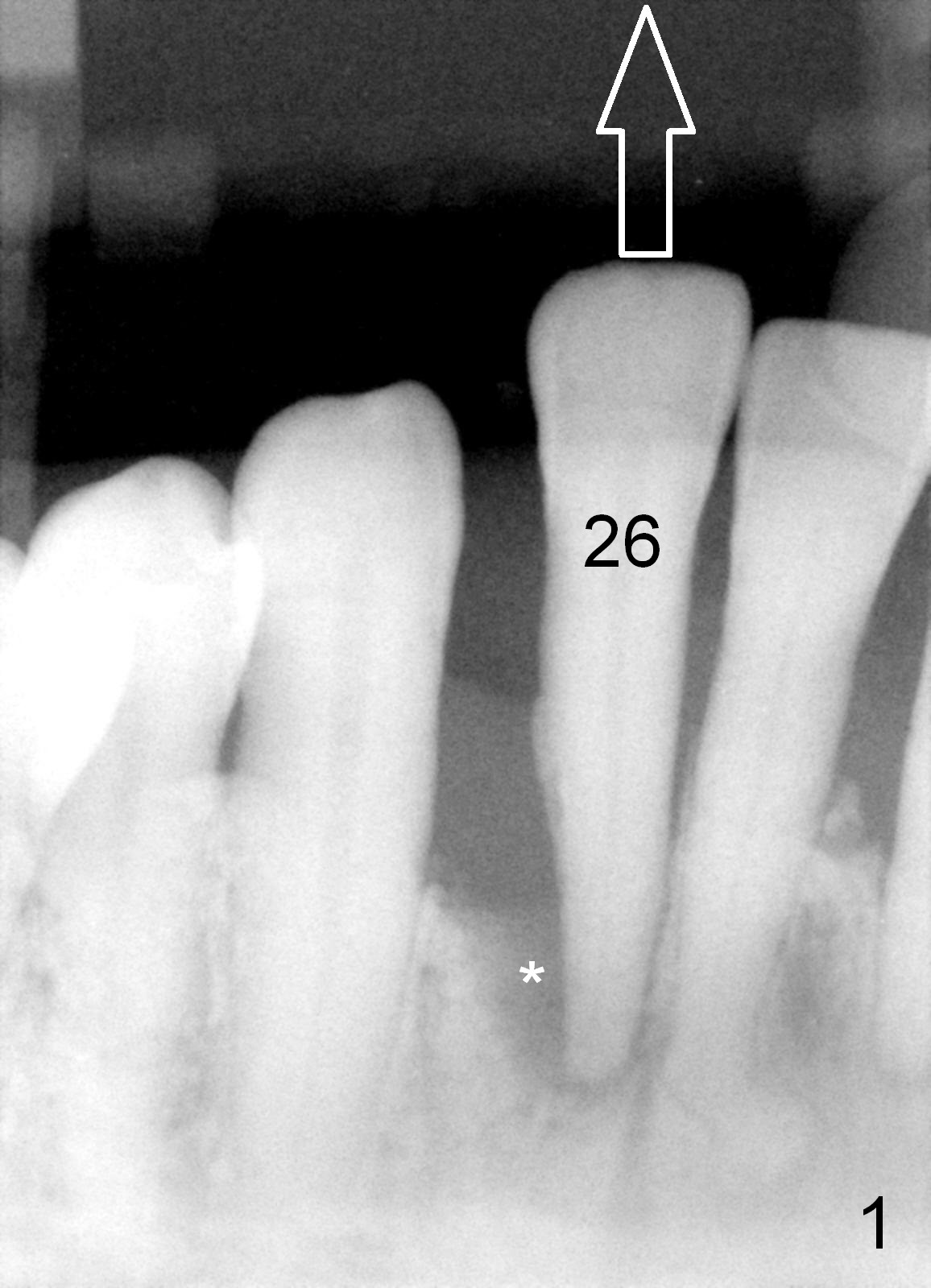
A 65-year-old lady has history of poliomyelitis and use of injection osteoporosis medicine. The tooth #26 is periodontally affected (Fig.1). Since the sensor is not placed deep enough (or there is plenty space above (Fig.1 arrow)), it is difficult to design implant treatment plan (Fig.2). PA has to be taken immediately pre-operatively for precise design.
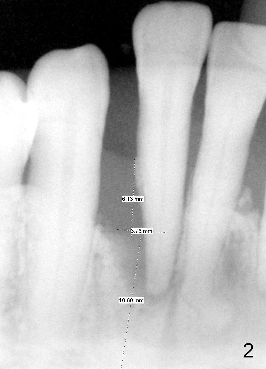
A tentative design is as follows: a bone-level implant is placed 4 mm subgingival (Fig.3, total gingival height 6 mm (Fig.2)). The cuff will be 4 mm. The most coronal threads are covered by bone graft (red circles).
If the patient turns out to be small in statue, crest width is narrow (by using bone caliper), and/or pilot drills are placed too buccal or lingual, a smaller 1 piece implant is to be chosen (2.5 mm). The lower incisor is the smallest tooth in the mouth. The small implant should sustain mastication.
The length of the implant will be 12 or 14 mm according to the new PA. Is 2.5 mm 1 piece implant indicated for this case? Return to Professionals, Lower Incisor Immediate Implant, Systemic Disease Xin Wei, DDS, PhD, MS 1st edition 03/09/2015, last revision 05/30/2018