![]() |
![]() |
![]() |
![]() |
![]() |
![]() |
![]() |
![]() |
![]() |
![]() |
||
Change Implant Position
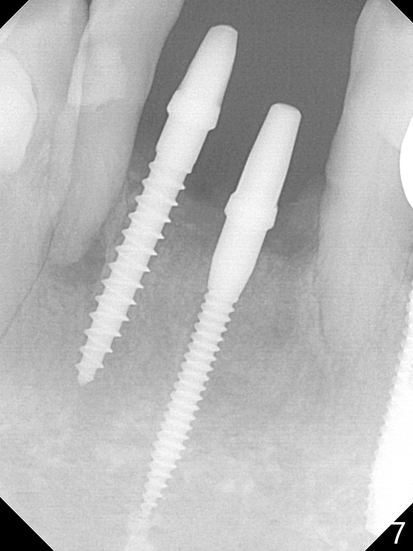
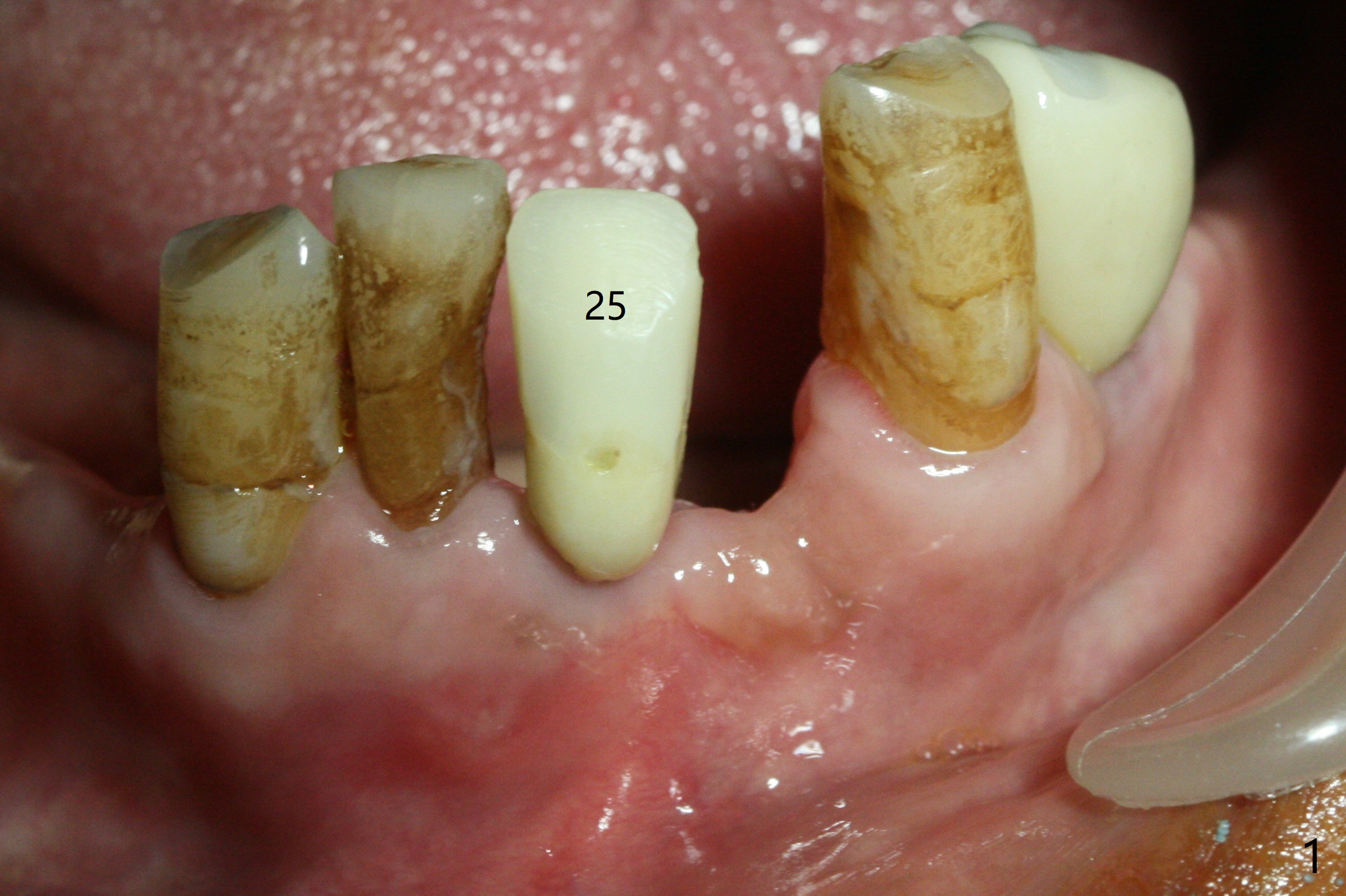
Two and a half months after loss of a 2 mm 1-piece approximately at #23 (Fig.1,2), it appears that the site of #24 (Fig.3 line) is more appropriate because the bone is higher. After removal of the pointed ridge top, osteotomy is initiated with 1.2 mm drill, followed by 1.5 mm one (Fig.4,5). When the 1.5 mm drill is removed, the new osteotomy (Fig.6 *) is mesial to the old one (^). Since the ridge is narrow (Fig.5,6), a 2x14(4) mm 1-piece implant is placed with GBR (Fig.7). Due to overprep, the torque is 20 Ncm. No immediate provisional is fabricated. Instead periodontal dressing is applied around these 2 implants. Two separate provisionals are fabricated when the wound heals. The one at #24 does not stay. The implant at #24 appears to osteointegrate 6.5 months postop (Fig.8). When the crowns are cemented, the margin is supragingival (Fig.9,10). Water Pik is recommended.
Return to
Lower Incisor Immediate Implant,
IBS
Xin Wei, DDS, PhD, MS 1st edition 10/30/2017, last revision 09/03/2018